A MINŐSÉG ZÁLOGA
A SmileCenter rendelőben folyó kozmetikai fogászati és esztétikai fogászati munka megköveteli a legmagasabb szintű anyagok és eljárások alkalmazását a napi gyakorlatban. Ennek érdekében a rendelőt vezető Bodrogi doktor 2002 óta a Reality társaság – amerikai székhelyű, gyártófüggetlen, saját kutatólaboratóriummal rendelkező, az esztétikai fogászatban használt anyagok és eljárások tesztelésében és ezek publikálásában egyedülálló társaság Platina fokozatú tagja. Az alkalmazott anyagok és technikák ennek megfelelően a Reality társaság által a legmagasabban minősítettek közül kerülnek kiválasztásra.
Emellett Dr. Bodrogi Attila 2005 óta tagja az Amerikai Kozmetikai Fogászati Akadémiának és alapító tagja a Magyar Esztétikai Fogászati Akadémiának, emiatt a rendelőben dolgozó összes orvos által végzett beavatkozások ezen legszigorúbb normák és követelmények szerint zajlanak. A rendelőben dolgozó valamennyi orvos folyamatosan kiemelt hangsúlyt fektet mind általános, mind esztétikai fogászati tudásának elméleti és gyakorlati fejlesztésére, ennek érdekében éves szinten több ezer oldalnyi hazai és nemzetközi szakirodalmat tanulmányoznak át, valamint részt vesznek magyarországi és külföldi tudományos rendezvényeken, ahol a világ legjobbjaitól sajátíthatják el a szakma legapróbb finomságait is.
A SmileCenter az ország egyik vezető rendelője, ahol a komplex szemléletű esztétikai fogászati beavatkozásokat egy olyan speciális két-lépcsős konzultáció előzi meg, mely a mosolytervezés szemléletén alapul.
Orvosaink szakterületüknek megfelelően a szakmai igazgató által személyesen kerültek kiválasztásra. A rendelőben minden kezelés Dr. Bodrogi Attila szakmai irányelvei alapján történik.
Kérjen időpontot vagy keressen minket bármilyen felmerülő kérdésével!
Időpontkérés Hívás most
Milyen részei vannak
az esztétikai fogászatnak?
- A fogpótlások típusai
- Fémkerámia korona, fémkerámia híd
- Fémmentes fogpótlások
- Cirkónium korona, cirkónium híd
- Préskerámia korona, préskerámia híd
- Porcelánhéj, kerámiahéj
- Kozmetikia fogászat
- Esztétikus tömések
- Esztétikus betét, inlay, onlay
- Fogfehérítés
A fogpótlások típusai
A fogpótlásokat alapvetően anyaguk, illetve rögzítésük szerint csoportosítjuk. Ez utóbbi alapján fix (rögzített) és kivehető fogpótlások léteznek. A páciensek kényelme és magabiztos megjelenése szempontjából leginkább a rögzített pótlások a megfelelőek, rendelőnkben minden esetben igyekszünk a kivehető fogpótlásokat kiváltani vagy fogakon, vagy implantátumokon rögzített pótlásokkal.
A fogpótlások ezen túlmenően csoportosíthatóak fémtartalmú, illetve fémmentes megoldásokra. A SmileCenter rendelő 2001 óta elkötelezte magát a fémmentes koronák, fémmentes hidak, porcelánbetétek és kerámiahéjak kivitelezése irányába, melyek lényegesebben esztétikusabbak és biokompatibilisebbek.
Hívjon minket időpontért!
A hagyományos fémkerámia koronák és fémkerámia hidak legtöbbször egyértelműen észrevehetőek, mert megjelenésük nem olyan esztétikus, mint a saját, természetes fogaké. Ennek oka, hogy a korona bázisát adó fém nem engedi át a fényt, emiatt tömör, úgynevezett opak hatást kelt. Ezt a fém réteget ugyan igyekeznek elfedni egy porcelán leplezéssel, azonban a fémkerámia korona és fémkerámia híd ennek ellenére élettelen benyomást kelthet a szájban, különös tekintettel az úgynevezett esztétikai zónában. Mindemellett a fémkerámia korona az ínyszélnél szürkés szegéllyel mutatkozik, amit a korona fém vázának a vékony ínyen való áttűnése okoz. Ezek az optikai eltérések elsősorban mosolygás és beszéd során feltűnőek, hátsó fogak esetében kevésbé zavaróak.
A FÉMKERÁMIA KORONA HÁTRÁNYA A FENTIEK ÉRTELMÉBEN:
- kedvezőtlen esztétikai megjelenés,
- egyes páciensek esetében a különböző fémallergiák megjelenése.
A FÉMKERÁMIA KORONA ÉS FÉMKERÁMIA HÍDPÓTLÁSOK EGYETLEN ELŐNYE:
- kedvezőbb költség a fémmentes koronákkal és fémmentes hidakkal összehasonlítva.
Rendelőnkben természetesen lehetőség van a fémkerámia korona cseréjére fémmentesre.
Fémkerámia korona szürke ínyszegéllyel és cseréje fémmentesre
Időpontot foglalok állapotfelmérésre
Mivel a fémtartalmú fogpótlások mindig sokkal „élettelenebbek”, színük fényben a gondos színválasztás ellenére is túl „tömör” lehet, ezért azt a jogos elvárást, hogy egy korona vagy híd a külső szemlélő számára észrevehetetlen maradjon, kizárólag fémmentes restaurációkkal tudjuk biztosítani. Az ilyen típusú esztétikai fogászati, illetve kozmetikai fogászati helyreállítások amellett, hogy képesek a természetes színt és rétegződést reprodukálni, lényegesen hosszabb távon biztosítják a fogíny épségét, egészségét is. Ez pedig a természetesség látszatának egyik legfontosabb feltétele.
Rendelőnk esztétikai fogászati és kozmetikai fogászati szempontból felkészült orvosai mindig a legmegbízhatóbb és legkorszerűbb eljárásokkal állnak az Ön rendelkezésére. Ennek biztosítéka, hogy mind alkalmazott technika, mind anyagválasztás szempontjából az esztétikai fogászatban és kozmetikai fogászatban is nemzetközi szaktekintélynek számító Bodrogi doktor, szakmai igazgató irányelvei az útmutatók.
Az utóbbi évek technológiai fejlesztéseinek talán legjelentősebb lépése az úgynevezett CAD/CAM rendszerek megjelenése a fogászatban. Lényege, hogy akár az esztétikai fogászati, akár a kozmetikai fogászati kezelés során, legyen ez akár fémmentes korona vagy fémmentes híd, illetve porcelán betét (inlay) vagy kerámiahéj, a preparált fogakról vett lenyomat alapján készülő minta adatait egy speciális szkenner letapogatja és a számítógépben rögzíti. Majd ezeket az információkat egy gyártóközpontba továbbítja az interneten keresztül és ott megkezdődik a fogpótlás vázának „gyártása”. Ez a váz lehet cirkónium vagy préskerámia is. Végül a fémmentes korona, fémmentes híd, illetve a porcelán betét, kerámiahéj végső formai kidolgozása ezt követően, az orvos és a páciens közös egyeztetésének eredményeként kialakított elvárások szerint történik meg a fogtechnikai laborban.
FENTIEK ALAPJÁN A FÉMMENTES KORONÁK, FÉMMENTES HIDAK ELŐNYEI:
- lényegesen esztétikusabbak, mint a fémkerámiák,
- nem jelentkeznek az ínyszéleknél a feltűnő sötét szürkés szegélyek,
- digitális gyártási technológiának köszönthetően lényegesen precízebbek.
FÉMMENTES KORONÁK, FÉMMENTES HIDAK HÁTRÁNYAI:
- magasabb elkészítési költség,
- mechanikai terheléssel szemben kisebb ellenállás.
Fogorvosi oldalról a fémmentes koronák, illetve kerámiahéjak esetén úgynevezett “vállas preparálást” szükséges alkalmazni, ami egy magas precizitású folyamat és feltételezi az orvos részéről a különböző nagyítórendszerek (lupe, mikroszkóp) használatát. A SmileCenter minden orvosa rendelkezik a legmodernebb nagyító szemüvegekkel, illetve a szükséges esetekben, elsősorban minimál invazív kerámiahéj preparáláshoz, illetve gyökérkezéshez mikroszkópot is használhatunk.
Hívjon minket időpontért!
A cirkon korona, cirkon híd alapanyaga a cirkónium-dioxid. A cirkonból készülő fogpótlások váza egy nagyon erős fogszínű fémmentes anyag, mely a fémkerámia koronákhoz, hidakhoz nagyon hasonlóan terhelhető.
Mivel azonban nem tartalmaz fémet, így nem is jelentkezik cirkónium koronák, cirkónium hidak használatakor sötét szegély az ínyszélnél, valamint fényáteresztő képessége miatt sokkal esztétikusabb megjelenésű, mint fémkerámia társai.
Előnye továbbá, hogy a cirkon korona, cirkon híd rögzítése a fogakon ún. konvencionális módon történik, így a fogérzékenység a ragasztást követően kevésbé jelentkezik. Hátránya a cirkon koronának és a cirkon hídnak, hogy frontfogak esetén csak nagyon magasan képzett orvos-technikus csapat képes természetes megjelenésű pótlást készíteni, emiatt mindig nagyon gondos mérlegelés végeredményeként kell meghozni a döntést anyagválasztás tekintetében az esztétikai zóna helyreállításában.
Sok rendelő tévesen rutinból alkalmazza a cirkónium koronákat, cirkónium hidakat a frontfogak területén, pedig sok esetben a préskerámia koronák vagy kerámiahéjak lényeges természetesebb végeredményt biztosíthatnának. A SmileCentert vezető Bodrogi doktor 15 éve nemzetközi szaktekintélye a fémmentes koronák, fémmentes hidak és kerámiahéjak témájának, számos szakirodalom, előadás, gyakorlati tréning megalkotója itthon és világszerte.
Időpontot foglalok állapotfelmérésre
A préskerámia korona és préskerámia híd egy speciális gyártási folyamat eredményeként a talán legesztétikusabb és emellett igen erős, strapabíró fogpótlás fajta. Ez a korona és híd is rendelkezik egyfajta vázszerkezettel, azonban ennek anyaga, optikai paraméterei még jobban közelítenek a természetes fogakéhoz, emiatt a saját fogak megjelenését ez az anyag képes a leginkább megközelíteni, imitálni.
Azonban nem szabad elfelejteni, hogy egy kimagasló esztétikai fogászati végeredmény záloga nem kizárólagosan a választott anyag, hanem a fémmentes korona, fémmentes híd, kerámiahéj kivitelezése során együttműködő orvos-fogtechnikus csapat szakértelme, tapasztalata.
A préskerámia korona mechanikai tulajdonságai miatt igen vékony rétegben is strapabíró, emiatt a fog előkészítésekor csupán csekély mértékű fogszövetet szükséges “feláldozni”. A rendelőt vezető Bodrogi doktor, valamint az itt dolgozó és a digitális fogászati részleget vezető Fenyő doktor haladó kurzusok formájában tanítja ezeket az úgynevezett minimál invazív módszereket a magyar fogorvosoknak és külföldi kollégáknak is.
A préskerámia koronák és préskerámia hidak úgynevezett adhezív ragasztási protokoll szerint rögzítendők, emiatt sajnos előfordulhat a ragasztást követően érzékenység, mely néhány nap, 1-2 hét alatt megszűnik.
Hívjon minket időpontért!
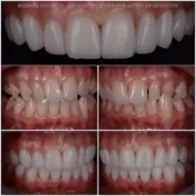
A kerámiahéj, vagy másnéven a porcelánhéj a legmagasabb értékű esztétika fogászati eredmény érdekében készülő indirekt fogpótlásfajta. Amennyiben frontfogak helyreállításáról van szó, akkor - mint fentebb említettük - nem feltétlen a cirkónium a legmegfelelőbb anyag. Ma már rendelkezésünkre állnak olyan megoldások, melyekkel azonos statikai paraméterek mellett még magasabb esztétikai eredményeket tudunk elérni. Ennek feltétele a fogak nagyon pontos, a mosolytervezés alapján történő előkészítése és úgynevezett mikro preparálása, hogy a fog zománcát lehetőség szerint minél nagyobb mértékben megtartsuk. Ezáltal lehet megbízhatóan ragasztani a felszínükre rendkívül vékony (0,3-0,4 mm), kontaktlencseszerű kerámiahéjakat is.

A kerámiahéj elsődleges indikációja a kisfokú alaki, formai, illetve színeltérésbeli elváltozás korrigálása, leginkább a frontfogak területén, azonban szakértő keze által kiváló módszer arra is, ha komplex mosolykorrekció (smile makeover) igényével érkezik a páciens. Ebben az esetben a mosoly megtervezését követően, annak információi szerint készíti elő a fogakat az esztétikai fogászati szakértő és a tervnek megfelelően gyártják le a porcelánhéjakat, melyek így képesek egy teljesen más, sokkal esztétikusabb, harmonikusabb és nem utolsó sorban funkcióhelyes mosolyt visszaadni viselőjének. Fontos tudni, hogy minden porcelánhéj/kerámiahéj bizonyos mennyiségű fogszövet eltávolításával jár, emiatt visszafordíthatatlan folyamat, ezért csak és kizárólag tapasztalt szakember munkáját válassza, és ne feledje elkérni a rendelő valódi pácienseken elvégzett hasonló kezeléseinek referencia fotóit, hogy ne érje csalódás a beavatkozása befejeztével!
Weboldalunkon a mosoly album menüpont alatt kizárólag valódi, retusálatlan fotókat talál, valamint megtekintheti videó galériánkat is, ahol “smile stories” címen számos epizódot talál mosolykorrekción, azaz smile makeover kezelésen átesett páciensek beszámolóival.
A kerámiahéjak vékony anyaguk ellenére igen tartós megoldások, a fogzománchoz speciális ragasztóval rögzülnek. Színüket a porcelánhéjak nem változtatják, emiatt az esetlegesen tervezett fogfehérítést még a porcelánhéj előkészítése előtt érdemes elvégezni. Helyes kivitelezés mellett a porcelánhéj/kerámiahéj nem szokott leesni a közhiedelemmel ellentétben, amit sajnos jónéhány fogorvostól is hallunk kijelentésként. Ezek a vélemények megalapozatlanok, leginkább a tapasztalat és hozzáértés hiányából fakadnak.
Rendelőnk statisztikája szerint a kerámiahéjak/porcelánhéjak sikertelenségének aránya mindössze 1,3 % és ez a sikertelenség is leginkább funkcionális problémából fakad (csikorgatás, körömrágás, baleseti sérülés stb.). A funkcionális megfontolások emiatt különösen fontosak porcelánhéjak/kerámiahéjak esetén, csak felkészült specialista képes felmérni előre ezeket a veszélyeket és elkészíteni az ennek megfelelő kezelési tervet.
Indokolt esetben javasoljuk az úgynevezett night guard éjszakai csikorgatásgátló sín viselését a porcelánhéjak/kerámiahéjak elkészültét követően. A rendelő szakmai vezetője, Dr. Bodrogi Attila évtizedek óta nemzetközi szaktekintélye a funkcionális esztétikai fogászatnak, az itt dolgozó minden orvos az általa felállított szakmai elvek és protokollok alapján végzi munkáját. A porcelánhéjak/kerámiahéjak speciális gondozást nem igényelnek, azonban gondos otthoni tisztítás és 6 havonta kontroll, valamint dentálhigiénés kezelés elengedhetetlen. Ez utóbbiakon való részvétel a garancia feltétele is rendelőnkben.

A kerámiahéjak/porcelánhéjak alkalmazásának egy speciális területe az úgynevezett instant fogszabályozás. Ebben az esetben a kerámiákat úgy tervezzük és készítjük el, hogy azok képesek egy megvalósult fogszabályozás látszatát és eredményét kelteni úgy, hogy közben a fogakat nem mozgatjuk, ezáltal elkerüljük a legtöbbször 1,5-2 éves kezelési időt, amit a hagyományos fogszabályozás igényelne. A kerámiahéjak ezen túlmenően alkalmasak az úgynevezett Hollywood smile létrehozására is, amikor mind a fogak színét, mind formáját, harmóniáját tökéletessé alakítjuk. Ez a “stílus” természetesen nem kötelező elem, a konzultáción minden páciensünknek lehetősége van megbeszélni a kezelőorvossal az igényeit, elvárásait, hogy mindenképpen olyan végeredmény szülessen, amire Ön vágyik.
A porcelánhéjakat/kerámiahéjakat átlagosan 10-12 év után szükséges cserélni a többi fémmentes koronához, fémmentes hídhoz hasonlóan, ennek oka, hogy körülbelül ennyi idő után lesz számottevő a fogpótlásokat körülvevő fogíny változása, visszahúzódása.
Időpontot foglalok állapotfelmérésre
A kozmetikai fogászat az esztétikai fogászat továbbfejlesztett változata. Célja az ideális, tökéletes mosoly megteremtése a hibátlan fogsor kialakításán keresztül. A kozmetikai fogászat egy külön diszciplína, sajátos látásmóddal, módszerekkel, eszközökkel. Magyarországon nincs a kozmetikai fogászatra szakosodott képzés, orvosaink tudásukat külföldi képzéseken szerzik meg, illetve a rendelő szakmai vezetője, Dr. Bodrogi Attila által felállított és átadott kozmetikai fogászati módszereket alkalmazzák. Bodrogi doktor 2005 óta tagja a világ legrangosabb kozmetikai fogászati társaságának, az Amerikai Kozmetikai Fogászati Akadémiának.
A kozmetikai fogászat beavatkozásai során a fogorvos már nem csak a természetes fogazathoz illeszkedő direkt és indirekt restaurációkat végez, hanem páciense igényeinek megfelelően igyekszik a tökéletes, hibátlan mosoly helyreállítására, megteremtésére. Ez igen sokszor több lépésből álló kezelési sorozat, mely minden esetben a mosolytervezéssel kezdődik.
A kozmetikai fogászat célja: a páciens fogazatának legesztétikusabb helyreállítása – legtöbbször egy fiatalosabb mosoly megteremtése – és ezáltal sokszor önbizalmának erősítése is. Eszköztárába ugyanúgy beletartoznak a porcelánhéj, kerámiahéj, fémmentes korona, fémmentes híd, préskerámia korona és préskerámia híd megoldások, azonban a cél sokkal összetettebb, komplexebb lehet. Ilyen beavatkozásoknál figyelemmel kell lenni még az íny lefutásokra is, azok harmóniájára, szimmetriájára.
Némely esetben a páciensek azért keresik fel a kozmetikai fogászati specialistát, mert mosolyuk nem elég „széles”, a fogak nem töltik ki esztétikusan az ajkak által határolt teret vagy nem adnak megfelelő alátámasztást azoknak. Ilyenkor a mosolytervezést követően az esztétikai kép javítása vagy többéves fogszabályozással, vagy az úgynevezett mosoly augmentációval, azaz a mosoly szélesítésével érhető el. Ennek eszközei legtöbb esetben a porcelánhéjak, kerámiahéjak. Ez utóbbiak akár néhány nap alatt (7-10 nap), minimál invazív beavatkozás által, de nagyon körültekintően megtervezett kozmetikai fogászati kivitelezéssel gyönyörű eredményt hozhatnak Önnek is!
Hívjon minket időpontért most!
Fontos megemlítenünk, hogy véleményünk szerint óriási különbség van a tömés és a restauráció között. A tömés szakmailag egy kevésbé igényes módszer arra, hogy egy fogat kezeljünk, leegyszerűsítve a tömés csupán a fogban lévő hiányt tölti ki, azáltal, hogy a tömőanyagot az üregbe juttatják. A tömőanyag lehet amalgám (ma már használata nem jellemző) vagy kompozit rezin, ami egy különböző színekből álló, rétegezhető, formálható fogszínű anyag. Ezzel szemben a restauráció a szó szoros értelmében restaurálja, vagyis helyreállítja a sérült, károsodott fogat. A fogszínű restauráció csupán csekély foganyag feláldozásával járó helyreállítás, mivel a speciális fényt kibocsátó fotopolimerizációs lámpa hatására megkeményedő tömőanyag egy ragasztólakk (bond) segítségével rögzül az előzetesen kondicionált fogfelszínhez. Ezt nevezzük adhezív technikának az esztétikai és a kozmetikai fogászatban.
A funkcionális esztétikai fogászatra specializálódott orvosaink éppúgy figyelmet fordítanak a természetes formák és a helyes fogsorzáródás kialakítására, mint a fogszín megegyezésére. Leggyakrabban csak az igen időigényes és nagy precizitást igénylő rétegzési technikák által tudjuk biztosítani a kívánt hatást. Front fogak direkt restaurációval történő helyreállítása során éppúgy szükség lehet mosolytervezésre, mint kerámiahéjakkal történő kozmetikai fogászati rekonstrukció alkalmával. A direkt fogszínű restaurációk hátránya, hogy technika szenzitívek, ami azt jelenti, hogy az orvos szakértelme és az alkalmazott anyag együttesen szükséges a magas színvonalú és tartós eredményhez. További hátrányuk, hogy a restauráció mérete a helyreállítandó fog károsodásától függően limitálja a módszer alkalmazhatóságát, valamint élettartamuk is rövidebb lehet, mint az indirekt (laborban készülő) restaurációké.
Időpontot foglalok állapotfelmérésre
Amennyiben a helyreállítandó fogban lévő hiány, sérülés túl nagy ahhoz, hogy direkt módszerrel (tömés, fogszínű restauráció) kezelhető lenne, akkor szükséges az indirekt, fogtechnikai laboratóriumban készülő esztétikus betétet, inlay-t, onlay-t alkalmazni. Ez a módszer a rágófogak területén alkalmazott legmagasabb szakmai igényeket is kielégítő esztétikai fogászati helyreállítási technika. Az esztétikus betét onlay fajtája a fog rágófelszínét is beborítja, míg az inlay betét csupán a fog belsejébe készül. Általában a kifúrt és speciálisan kialakított üregről vett precíziós lenyomatvétellel vagy intraorális szkenneléssel indul a folyamat, majd fogtechnikai laboratóriumban készül el a tökéletesen anatomikus és esztétikus betét. Ezt a fogorvos a második kezelés alkalmával az üregbe ragasztja. A ragasztás ebben az esetben is adhezív módszerrel történik, mint az összes esztétikai fogászati munkánál. A két időpont között az orvos a kialakított üregbe ideiglenes tömést helyez. Az esztétikus betét, inlay, onlay anyaga lehet porcelán (kerámia), illetve ún. kompozit rezin, mely a kerámiánál rugalmasabb, könnyebben javítható utólagos sérülés esetén, valamint általában kedvezőbb áron elérhető.
Az arany betét, inlay, onlay szakmailag hibátlan megoldás és igen tartós is, azonban ára és kedvezőtlen esztétikai megjelenése miatt egyre kevesebbszer választják ezt a betéttípust a páciensek. Az esztétikus betét felszíni kidolgozása és színe viszont tökéletesen képes illeszkedni a helyreállítandó fog tulajdonságaihoz, így láthatatlan módon egészíti ki a hiányt. Az esztétikus betéttel, inlay-el, onlay-al helyreállított fog mechanikailag is erősebbé válik a terheléseknek, ugyanúgy működik, mint egy természetes fog, tisztítása azonban különleges gondosságot igényel, mint minden más restauráció (fogselyem, fogköztisztító kefe stb.).

A laborban készített indirekt restaurációk, így az esztétikus betét, inlay, onlay is a precíz és szigorú gyártástechnológia miatt 7-10 nap után kerülhetnek beragasztásra. Az esztétikus betét, de leginkább onlay változata alkalmas arra is, hogy helyreállítsa a bármely okból kialakult fogsorzáródási problémákat, azonban ezt a beavatkozást mindig megelőzi egy harapásanalízis, mely figyelembe veszi az állkapocsízület helyes pozícióját is. Az onlay-k továbbá elengedhetetlen eszközei az úgynevezett teljes rekonstrukciók “harapásemelés” lépésének megsüllyedt harapás esetén. Az ilyen jellegű fogorvosi munka speciális felkészültséget igényel, ennek hiányában sokszor még nagyobb baj keletkezik a kezelés sorozat befejeztével.
Sokszor felmerül a kérdés, mennyire tartós egy esztétikus betét, inlay, onlay? Ugyanaz igaz rájuk, mint a fémmentes korona, fémmentes híd megoldásokra. Az indirekt restaurációk tartósságának alapfeltétele a pontosság, mely vonatkozik mind a fogorvosi, mind a technikusi munkára. A rendelői pontosság elsősorban a nagyításban végzett kezelések, valamint a precíz lenyomatvétel, szkennelés függvénye. A labor oldaláról a gyártástechnológia pontos betartása, valamint a kiváló anyagok alkalmazása támogathatja a kimagasló szakértelmet. Ha minden fenti feltétel teljesül, akkor joggal várhatjuk el a 10 éves kihordási időt esztétikus, fémmentes indirekt restaurációk alkalmazásakor. Természetesen a félévenkénti orvosi kontroll és szájhigiénés kezelés elengedhetetlen feltétele a tartósságnak és a restaurációkra vonatkozó garanciának is.
Hívjon minket időpontért most!
Az Amerikából 25-30 éve induló, de mára világszerte nagy népszerűségnek örvendő fogfehérítés ma már hozzáférhető nemcsak a kifejezetten kozmetikai fogászatra specializálódott rendelőnkben, hanem szinte mindenhol, ahol esztétikai fogászattal foglalkoznak. Alapvetően két módszerrel lehet a fogakat világosabbá tenni, az otthoni és a rendelőben elvégzett fogfehérítéssel.
Az otthoni, úgynevezett sínes módszerrel 10-14 nap alatt lehet elérni látványos javulást a fogak színében, míg a rendelői, professzionális módszer sokkal kényelmesebb és gyorsabb eljárás. A módszer lényege, hogy a páciensnek elegendő egy alkalommal 3×15 percig a fogorvosi székben ülnie és ezalatt fehérednek ki fogai a lehetséges mértékben. Ezt egy speciális LED fényforrás és az általa aktivált fehérítőanyag teszi lehetővé, mely Európa-szerte egységesen azonos standardok szerint kerül forgalmazásra. Az elért hatás azonnal értékelhető és általában tovább is tart, mint az otthoni sínes módszer esetében.
Vannak olyan mértékű fogelszíneződések, amikor csak a rendelői és az otthoni módszer együttes alkalmazásától remélhetünk látványos javulást. A rendelői fogfehérítés előnye, hogy gyors, tartós, szakszemélyzet által kontrollált, így nem károsítja fogakat és az ínyt, illetve nem jut be a szervezetbe a fogfehérítő anyagból még kis mennyiség sem. Hátránya, hogy költségesebb, mint az otthoni fogfehérítés, időnként már a fogfehérítés közben is jelentkezik fogérzékenység, mely a kezelés után 1-2 napig is fennállhat. Ezzel szemben az otthoni fogfehérítés előnye, hogy kedvezőbb az ára, otthon, kényelmesen elvégezhető és az esetek többségében sokkal kisebb fokú a fog érzékenység a fogfehérítés közben, illetve azt követően is, mivel a fogfehérítő anyag koncentrációja alacsonyabb.
Fontos megjegyeznünk, hogy nem minden fogsor reagál azonos módon a kezelésre, vannak olyan esetek, amikor a zománc szerkezeti problémáinak (pl. tetraciklin elszíneződés, zománc hipoplázia) megváltoztatására a fehérítés nem alkalmas a teljesség igényével, ezekben az esetekben csak a porcelánhéjak, kerámiahéjak hozhatnak tökéletes megoldást. Minden esetben előzetes konzultáció és szájvizsgálat szükséges a várható eredmény tisztázása érdekében. Továbbá nagyon fontos kiemelni, hogy fogfehérítést csak egy nagyon alapos és szakszerű tisztítást, szájhigiénés kezelést követően áll módjában elvégezni egy szakmai alapokon működő rendelőnek.