Időpontot foglalok egy konzultációra
Mi a fogimplantátum?
Amennyiben bármely okból egy vagy akár több fogat el kellett távolítani, annak komoly hosszú távú következményei lehetnek. Például a környező fogak elmozdulása, azok túlterhelődése, a rágóképesség csökkenése, állkapocsízületi elváltozások, sőt még esztétikai hátrányok is. Ezeket a foghiányokat hídpótlásokkal, kivehető fogsorokkal, illetve fogimplantációs beavatkozásokkal lehet kezelni. A felsoroltak közül a hiányzó fogak pótlásának legkorszerűbb módja a fogimplantáció, más nevén fogbeültetés. A beavatkozás abszolút fájdalommentesen, helyi érzéstelenítésben elvégezhető, nem szükséges sem altatás, sem kórházi környezet hozzá.
HOGYAN ZAJLIK EGY
FOGIMPLANTÁCIÓS BEAVATKOZÁS?
1. lépés- Digitális tervezés és szakértelem
az implantáció maximális sikere érdekében
A fogimplantátum beültetése egyszeri és emiatt nagyon kritikus folyamat. Helyét minden esetben előre pontosan meg kell határozni a CBCT képalkotó eszköz információi alapján. Azonban nem csupán ez a csontmennyiség által meghatározott pozíció fontos, hanem az is, hogy a beültetett fogimplantátumra később lehetőség legyen a legtökéletesebb esztétikájú és funkciójú fogpótlásokat készíteni. Ezt nevezzük protetikailag (fogpótlás alapján) vezérelt elvnek.
A SmileCentert vezető
Bodrogi doktor nemzetközileg elismert szaktekintélye ennek a témának, a rendelőben készülő fogimplantációs pótlások ennek az elvnek a messzemenő figyelembevételével készülnek. Vannak természetesen biológiai szabályok is arra vonatkozóan, hogy mekkora távolságot kell tartani a fogimplantátum és egy természetes fog, valamint egy másik fogimplantátum között. Kritikus a beültetett fogimplantátum mélységbeli pozíciója, melynek szoros összefüggése van a környező íny vastagságával, hiszen a helyes pozíció meghatározásával minimalizálható a beültetést követő csontveszteség.
Az előzőek értelmében a legmagasabb szintű fogimplantációs beavatkozás kulcsa steriltáson túl a precizitás. Ennek elősegítése érdekében ma már van arra is lehetőség, hogy a beültetendő fogimplantátum helyét előre, digitális tervezés módszerével határozzuk meg. Rendelkezésünkre állnak különböző tervezőprogramok, amelyek az előzetesen készülő CBCT adatokkal összevetve képesek 3D-ben láthatóvá és tervezhetővé tenni a leendő fogimplantátumokat.
A megtervezett fogimplantátum-pozíciók a műtét során egy ún. fogimplantátum-sablon formájában jelennek meg, mely 3D nyomtatás módszerével készül el a rendelőben, illetve a fogtechnikai laborban. A sablon nyílásai egyszerre több fogimplantátum behelyezését is lehetővé teszik, ezzel jelentősen növelve a pontosságot és csökkentve a műtéti időt. Az előre digitálisan tervezett műtét lényegesen biztonságosabb, hiszen a fontos anatómiai képletek (idegcsatorna, arcüreg…) vizuálisan ellenőrizhetőek és sérülésük ezáltal elkerülhető.
Milyen anyagból készülnek a fogimplantátumok?
A fogimplantátumok legtöbbször titániumból kialakított, csavarmenettel ellátott gyökérformájú steril darabok, melyek képesek mechanikailag helyettesíteni a korábban eltávolított foggyökereket. Több mint 40 éves kutatások bizonyítják, hogy a titánium és a saját csont között kialakul egy nagyon stabil és tartós kapcsolat, amit a szaknyelvben osseointegrációnak hívunk. Ez azt jelenti, hogy a csontsejtek tulajdonképpen körbenövik a behelyezett fogimplantátumot, ami ezt követően még a saját fogaknál is “erősebben” rögzül a csontban.
2. lépés- A fogimplantátum beültetése
Amint a tervezéssel elkészültünk, a fogimplantátum beültetése következik műtéti úton. Ez helyi érzéstelenítésben történik. Először a fogínyt nyitjuk meg kizárólag a legszükségesebb mértékben, majd az előre meghatározott helyen a csontban furatot készítünk a fogimplantátum hosszának és vastagságának megfelelően. Ebbe a furatba kerül behajtásra maga a fogimplantátum. Végső pozíciójában ellenőrizzük annak úgynevezett primer stabilitást egy speciális berendezéssel, melynek neve ISQ mérő. E készülék által kijelzett érték nagyon pontos fokmérője, mennyi gyógyulási idővel kell kalkulálni, illetve, hogy van-e lehetőség azonnali ideiglenes pótlást készíteni.
A fogimplantátum végső ellátása innentől három úton történhet az implantátum primer st
abilitásától függően: amennyiben szükséges, az íny zárását követően gyógyulni hagyjuk a fogimplantátumot; vannak olyan esetek, amikor úgynevezett gyógyulási csavart helyezünk be, amely a teljes gyógyulás alatt az íny felett marad; illetve amennyiben a primer stabilitás megfelelő, lehetőség nyílik azonnali, a fogimplantátumra rögzített pótlás készítésére. Ezt az utóbbi módszert leginkább a frontfogak esetén alkalmazzuk.
3. lépés- Varratszedés
Legtöbb esetben varratok kerülnek be a beavatkozást követően, amelyeket 10-14 nap elteltével távolítunk el. A varratszedés fájdalmatlan, 2-3 perces beavatkozás.
Időpontot foglalok egy konzultációra
Milyen implantátumokat használunk?
Ma számos fogimplantátum-gyártó cég létezik, szinte lehetetlen követni őket és a szerteágazó termékpalettákat. Emiatt is fontos, hogy olyan rendelőnek szavazzunk bizalmat, ahol széleskörű nemzetközi tapasztalat és akár nemzetközi akadémia tagságokkal rendelkező szakemberek gondoskodnak a beavatkozások színvonaláról.
A SmileCenterben elérhető és közel 100%-os sikeraránnyal alkalmazott fogimplantátumok a következők: Straumann, Nobel, Megagen. Fontos tudni, hogy mindig az adott célnak, indikációnak legmegfelelőbb típust érdemes használni. Más-más szempontok vannak jelen egy késői (évekkel a fogeltávolítást követően) és egy azonnali fogimplantáció esetén. Rendelőnk nem alkalmaz ún. kerámia fogimplantátumokat, amelyek ugyan fémmentes megoldások, azonban ezek mechanikai tulajdonságai, főleg a fogimplantátumra készülő fogpótlás tekintetében véleményünk szerint nem meggyőzőek hosszútávon.
A FOGIMPLANTÁTUMRA KÉSZÜLŐ FOGPÓTLÁSOK
A LEGPRECÍZEBB ELJÁRÁSOKKAL
A fogimplantátum célja, hogy helyettesítse egy vagy több kihúzott fog funkcióját. Úgy kell elképzelni, hogy a beültetett fogimplantátum úgy működik, mint egy foggyökér, tehát a gyógyulását követően ellátható különböző fogpótlásokkal. Teljes fogatlanság esetén több fogimplantátumot szükséges beültetni, ezek száma 4-6-8, esetleg 10 db állcsontonként. Ezekre a fogimplantátumkra készül el és rögzül a fogpótlás, lehetőség szerint csavarozható megoldással. Az implantációs fogpótlások rendkívüli precizitással kell készüljenek, erre a digitális (CAD-CAM) gyártás technológia a legalkalmasabb.
A fogimplantátumra készített pótlások anyaga lehet fémtartalmú is, de rendelőnk a biokompatibilitás és pontosság miatt szinte kizárólag cirkónium alapú megoldásokkal áll a páciensek rendelkezésére. A koronák, hidak átmenő csavarral rögzülnek a fogimplantátum belsejében kialakított “fészekbe”, így szükség esetén károsítás nélkül eltávolíthatóak, tisztíthatóak, javíthatóak.
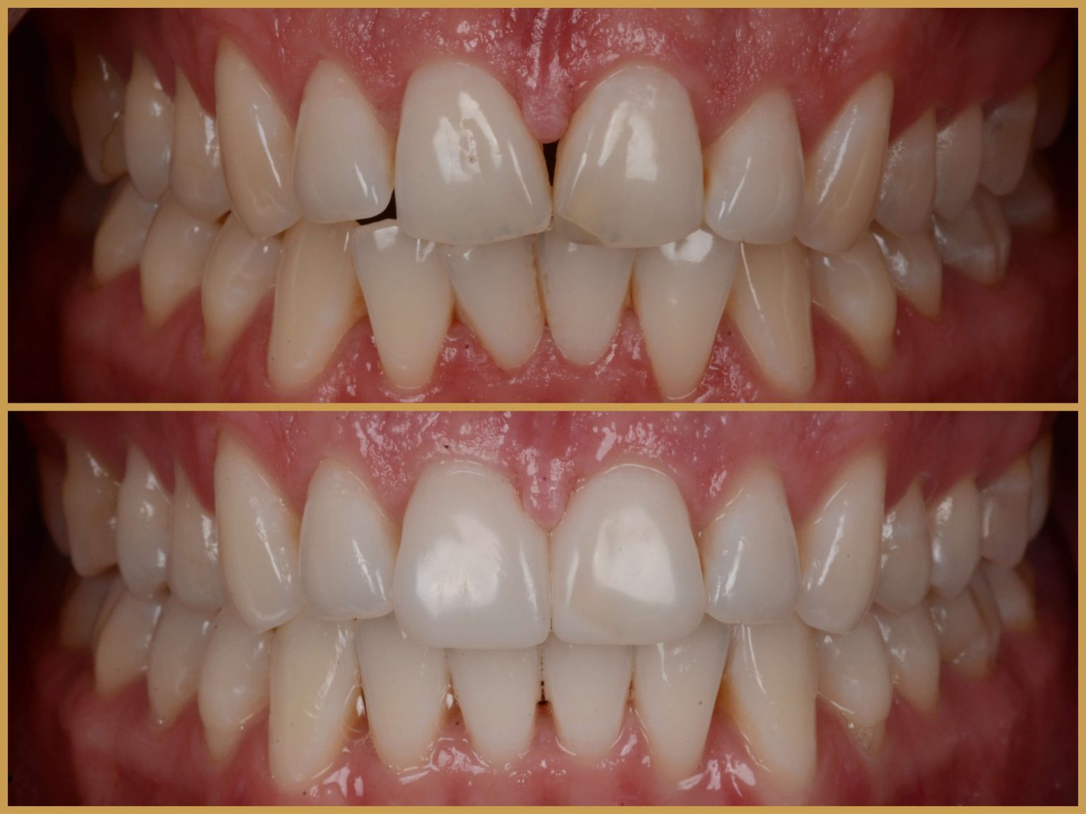
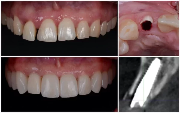
Amennyiben csak részlegesen hiányoznak fogak és azokat fogimplantátumokkal helyettesítettük, akkor rövidebb hidak készülnek, lehetőség szerint szintén csavarrögzítéssel. Előfordul, hogy csupán egyetlen fog hiányzik és annak helyére kerül beültetésre fogimplantátum. Ha ez a hiányzó fog a mosolyzónában helyezkedik el, akkor kiemelt és kritikus fontosságú a fogimplantátumra készülő fogpótlás természetes megjelenése.
Ez a feladat speciális felkészültséget igényel orvosi és fogtechnikusi oldalról egyaránt. Ilyenkor különös tekintettel kell lenni a fogíny lefutására és annak a természetes szomszédos fogakhoz való kialakítására. Bodrogi doktor nemzetközi előadásainak fő témája az esztétikai zóna ellátása különböző fogimplantációs megoldásokkal. Azonban az esztétika mellett a fogsorzáródás (harapás) optimalizálásán keresztül a helyes funkció kialakítása is kiemelt fontosságú a fogimplantációs beavatkozások kapcsán.
SZÜKSÉG ESETÉN CSONTPÓTLÁS
MINIMÁL INVAZÍV MÓDSZEREKKEL
Amennyiben az előzetes CBCT analízis azt mutatja, hogy a tervezett fogimplantátum területén nem áll rendelkezésre megfelelő mennyiségű, illetve minőségű csont-, illetve ínyszövet, a SmileCenter rendelőben elérhetőek azok a legkorszerűbb beavatkozások, amelyekkel ezeket pótolni tudjuk.
Ezek a tételek természetesen már az előzetes kezelési tervben is szerepelnek és megfelelő tájékoztatást követően, kizárólag a páciens beleegyező nyilatkozatot való aláírásával valósulnak meg. A csontpótló beavatkozások célja, hogy helyreállítsuk a korábbi foghúzásból, fogágybetegségből, balesetből származó volumenvesztést.
Ideális esetben CBCT analízist követően lehetőség van a fogimplantátum és a csontpótló beavatkozás elvégzésére egyidőben. Ennek előnye, hogy a két beavatkozás egyszerre gyógyul, nincs szükség újbóli műtétre, ezzel jelentősen csökkentve a páciens terhelését. Dr Bodrogi Attila fő kutatási területe és nemzetközi fogimplantációs előadásainak, publikációinak témája az úgynevezett minimálinvazív implantológia.
Amennyiben a csont mennyiségének hiánya jelentős, előfordulhat, hogy “csak” a csontpótlás valósul meg első lépésként és a fogimplantátum behelyezése néhány hónap elteltével, a csont gyógyulási idejének leteltével történik meg. A csontpótló anyag lehet állati, emberi, illetve szintetikus eredetű. Indokolt esetben használunk saját csontot is a fogimplantátumot körülvevő csontfelszíneket felhasználva, ez a módszer fájdalmatlan és nem igényel többlet beavatkozást (többszöri műtétet) sem.

Annak érdekében, hogy a csontképződés minőségét és sebességét, ezek által pedig a fogimplantáció hosszútávú sikerességét fokozzuk, a SmileCenterben már hosszú évek óta, egészen pontosan a módszer nemzetközi bevezetését követően rutinszerűen alkalmazzuk az úgynevezett PRF (Platelet Rich Fibrin) technikát. Ez a páciens vérének felhasználást jelenti egy speciális centrifuga segítségével, hiszen a néhány perc alatt kinyert koncentrátum töményen tartalmazza azokat a faktorokat, növekedési hormonokat, amik jelentősen fokozzák a csontképződést.
Csontpótlásra még szükség lehet a felső fogsor hátsó fogainak fogimplantátummal történő helyettesítése esetén is. Ilyenkor az arcüreg közelsége okoz nehézséget a legtöbb esetben. A megoldás a sinus-lift nevű eljárás, melynek során az arcüreget kissé felemelve juttatjuk be a csontpótló anyagot a csontmagasság növelése céljából. A hagyományos módszer szerint ezt a beavatkozást az arcüreg külső csontos felszínének megnyitásával (külső ablak) hajtjuk végre, rendelőnkben azonban rendelkezésre áll egy speciális módszer (DENSAH internal sinus-lift), mely a külső ablak alkalmazása helyett, a fogimplantátum furatán keresztül juttatja be a csontpótló anyagot, ezzel elkerülve a plusz csontműtétet és az azt követő arcduzzanatot, fájdalmat. Ez is egyike azoknak a minimál invazív módszereknek, melyek Bodrogi doktor fő kutatási és érdeklődési körébe tartoznak.
Időpontot foglalok egy konzultációra
MEGOLDÁS TELJESEN
FOGATLAN PÁCIENSEK SZÁMÁRA
Az all-on-four, all-on-six technika lehetővé teszi egy teljesen fogatlan páciens számára is, hogy akár egy napon belül fogimplantátumon rögzített, teljesen stabil fogsorra cserélje korábbi kivehető protézisét.
A legtöbb esetben megoldást nyújt azoknak is, akiket korábban eltanácsoltak a fogimplantátumos beavatkozásoktól az előrehaladott csontleépülés miatt. Így ők is viszonylag csekély műtéti beavatkozás révén nyerhetik vissza magabiztos mosolyukat és teljes rágóképességüket. Bizonyos esetekben szükség lehet egyidejű, kiegészítő csontpótlásra is, kizárólag CT vizsgálatot követően lehet pontos tervet készíteni, a fogimplantátum beavatkozásokat elkezdeni.
Az eljárás lényege, hogy egy forradalmi újításként az állcsontok elülső, úgynevezett tömör csontos régiójába kerül beültetésre alul minimum 4, illetve felül minimálisan 6 darab fogimplantátum oly módon, hogy a hátsók egy bizonyos ferde szögben rögzülnek. Az esetek túlnyomó többségében még idős korban is található alkalmas terület a front régióban e beavatkozás elvégzésére. A fogimplantátumokhoz legtöbbször csavarozható módon tudjuk rögzíteni az új, teljesen fix fogsorokat, így akár egy napon belül a korábbi kivehető protézisek helyére esztétikus, funkcióstabil rögzített fogsor kerül. A fogsor rögzítésére szolgáló fogimplantátum beültetése esetén a gyógyulási idő 3-6 hónap, melynek leteltével van lehetőség a végleges, akár a legmagasabb esztétikájú cirkónium körhidak elkészítésére, a teljes fogsor rögzítésére.
Időpontot foglalok egy konzultációra
LEHETŐSÉG A FOGHÚZÁS UTÁNI AZONNALI
FOGIMPLANTÁTUM BEHELYEZÉSRE
Bizonyos helyzetekben elkerülhetetlen, hogy egy fogat el kell távolítani. Tudományos vizsgálatok tucatjai bizonyítják, hogy a húzást követő csontleépülés néhány napon belül megindul és az első 3 hónapban igen nagy mértékű. Amennyiben hosszú hónapok, évek, esetleg évtizedek telnek el a fog elvesztését követően, gyakran kerülhetünk abba a helyzetbe, hogy már nem elegendő a csont mennyisége egy késői fogimplantátum-beültetésre, vagy legalábbis csontpótlás nélkül esztétikailag kedvezőtlen kialakítású pótlást lehet csak készíteni a behelyezett fogimplantátumra.
Dr. Bodrogi a UCLA Master Program in Implantology keretében sajátította el az azonnali, foghúzást követő fogimplantátumbehelyezési technikákat, mellyel megkímélhető a páciens a többszöri sebészi beavatkozástól és az indokolatlan csontveszteségtől (melyet később csak csontpótlással lehet kompenzálni). Így egységnyi gyógyulási idő alatt regenerálódik a húzás helye és gyógyul a csont a fogimplantátum körül.
A legtöbb esetben az azonnali fogimplantátum beültetéseknél szükség van egyidejű mérsékelt csontpótlásra is, hogy mind esztétikailag, mind funkcionálisan a legmagasabb értékű végeredmény születhessen. Ennél a beavatkozásnál is rutinszerűen alkalmazzuk a PRF technikát, hogy a centrifuga által kinyert koncentrátum a páciens saját növekedési faktorainak segítségével serkentse elő a gyógyulási folyamatot.
Korszerű technológia
Részleges foggyökér-eltávolítással
egybekötött fogimplantátum-beültetés
Bodrogi doktor legújabb érdeklődési és kutatási területe az úgynevezett PET (PARTIAL EXTRACTION THERAPY) terápia, magyarul részleges foggyökér-eltávolítással egybekötött fogimplantátum-beültetés. Lényege, hogy az eltávolítandó foggyökeret annak külső részének megtartásával húzzuk ki és ez a védőréteg mögé helyezzük be a fogimplantátumot. Több, mint 10 évnyi tapasztalat áll a módszer mögött és ez a technika bizonyult a legjobbnak, legmegbízhatóbbnak és legkiszámíthatóbbnak a fogimplantátumot környező csontvolumenének megtartásában. Meglehetősen technika szenzitív beavatkozás, azonban megéri több időt eltölteni alkalmazásával, hiszen jelentősen csökkenthetjük a páciensek műtéti terhelését, a gyógyulási időt.
Időpontot foglalok egy konzultációra
AZONNALI IDEIGLENES
PÓTLÁS A FOGIMPLANTÁTUMRA
A legtöbb esetben lehetőség nyílik a fogimplantátum azonnali ideiglenes fogpótlással való ellátására is. Sajnos még csak kevesen ismerik és még kevesebben alkalmazzák ezt a technikát, Bodrogi doktor rendszeresen tart előadásokat és közöl publikációkat ebben a témában. Tagja egy nemzetközi kutatócsoportnak is, ahol egyre nagyobb számban publikálnak eseteket, közölnek eredményeket, tartanak képzéseket és fejlesztik magát a módszert is, hogy minél szélesebb körben váljon ismertté világszerte.
Azonnali ideiglenes pótlás készítésére akkor nyílhat lehetőség, amennyiben a fogimplantátum beültetése a tervezett módon, a megfelelő helyre és speciális felszíni kialakítással történt. A beültetés folyamatának végén megmérjük a fogimplantátum úgynevezett primer stabilitását, vagyis azt, hogy mennyire erősen rögzül az a csontban közvetlenül a műtét után. Erre egy felkészült rendelőben rendelkezésre áll egy ISQ mérőkészülék.
Amennyiben a mért stabilitás elér egy bizonyos mértéket, akkor lehet a fogimplantátumot ellátni azonnali ideiglenes pótlással. A SmileCenterben az esztétikai zóna fogimplantációs beavatkozásai során minden esetben törekszünk az azonnali ideiglenes ellátásra a gyorsabb gyógyulás és a tökéletes ínyesztétikai létrehozása miatt.