digitális mosolytervezés

Mindig is vágyott arra, hogy önfeledten mosolyoghasson?

Változtassa meg mosolyát a digitális mosolytervezéssel!

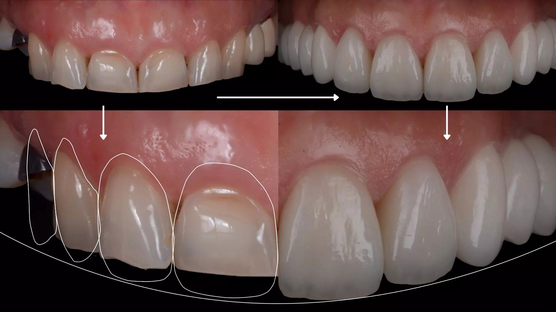
A SmileCenterben a digitális mosolytervezés a kozmetikai fogászati kezelések tervezési folyamatának szerves részét képezik. Kezdetben megvizsgáljuk az Ön száját és arcának egészét, figyelembe véve az esztétikát, a szimmetriát, a fogak helyzetét és azt, hogy a fogai hogyan viszonyulnak a többi vonásához. Ezután számos fényképet és videót készítünk a száján belül és kívül.

Ezután mindezen képek alapján digitálisan megtervezzük az Ön legszebb mosolyát, meghosszabbítjuk a fogakat, kiigazítjuk az arányokat, világosabbá tesszük a felszínt, és biztosítjuk, hogy a fogai illeszkedjenek az Ön személyiségéhez, vonásaihoz és természetes módon emeljék ki arcát. A digitális tervezésnek köszönhetően képesek vagyunk vizualizálni és elemezni, hogy pontosan hogyan fog kinézni, miután a kozmetikai fogászati kezelése befejeződött.

Az egész folyamat során nagymértékben bevonjuk, hogy a tervezés tökéletesen illeszkedjen az új mosolyáról alkotott elképzeléseihez. A közösen megalkotott terv lesz a személyre szabott kezelési tervének alapja.

Időpontot foglalok állapotfelmérésre


Mi az a digitális mosolytervezés?

A Digitális Smile Design (DSD) vagy digitális mosolytervezés egy olyan modern módszer, ami lehetővé teszi, hogy Ön páciensként részt vehessen mosolya megtervezésében és ki is próbálhassa azt még a kezelések megkezdése előtt. És még ennél is jóval több…

Egy olyan megközelítés, amely az életminőség változtatását, a magabiztosságot és a kisugárzást állítja a középpontba. Az egész konzultációs folyamat és a kezelések is egy, a személyes szempontjaira érzékeny, az igényeire kiváncsi, és a lehető legteljesebb élmény elérését célzó légkörben zajlanak.

 

Legfejlettebb technológiai háttérrel

A technológiai háttér, amit arra használunk, hogy az arcához leginkább illő mosolyt tervezzük és valósítsuk meg. Pontosan ugyanúgy. Találgatás, próbálgatás és bizonytalanság nélkül.

A folyamat során először felmérjük és digitalizáljuk arcának és szájüregének elemeit. Fényképeket és videó felvételeket készítünk, CBCT illetve röntgenfelvételeket elemzünk és intraorális szkennerrel tapogatjuk le fogait. Ezek mind a készülő mosoly esztétikai minőségéhez és funkciójához adnak hozzá és mindeközben Önt is segítik döntéseiben. Ezeket az adatokat egy mosolytervező szoftverben értékeljük ki, majd kiválasztjuk azokat a fogformákat, amelyek tökéletesen illeszkednek majd arckarakteréhez, személyiségéhez. Egy csapat fogorvos, digitális fogtechnikus és tervező dolgozik egy-egy mosolyterv elkészítésén, így alkalmazzuk a kollektív intelligenciát.

dsd2 dsd1 dsd6 dsd7 dsd8 dsd10

Nem bízzuk a véletlenre: mosolypróba

A mosolypróba a folyamatnak azonon része, amit nem csak saját munkánk elősegítésére használunk, hanem arra is, hogy megmutassuk Önnek azokat az eredeményeket, amikre a modern fogászat képes. Ebben a fázisban lesz alkalma látni és átérezni, hogy milyen teljesen elengedni magát és önfeledten mosolyogni!

Hívjon minket időpontért!

Együtt hozzuk meg a legjobb döntést!

Lehetőség van ellenőrizni, megváltoztatni, finomhangolni a végeredményt már a kezelés megkezdése előtt. Mérlegelni és megváltoztatni a nyitottságát egyéb kezelési módokkal, például fogszabályozással, illetve egyéb sebészeti beavatkozásokkal kapcsolatban.

Ezután elkészül a kezelési terv, ami lecsökkenti az esélyét, hogy meglepetések érjék a kezeléssorozat közben.

A terv alapján pedig elindul a megvalósulás fázisa, ami követi és időtálló formában kelti életre azt a tervezett mosolyt, amit már kipróbált, megvizsgált és elfogadott, valamint azt az egészséget, funkciót és esztétikát, amit mindenki megérdemelne.

dsd15

Gyakori kérdések

Online időpontfoglalás