A KOZMETIKAI FOGÁSZAT
FONTOS RÉSZEI
A LEGMODERNEBB FOGFEHÉRÍTÉSI TECHNOLÓGIA
Az amerikából induló, de mára világszerte nagy népszerűségnek örvendő fogfehérítés hozzáférhető kifejezetten kozmetikai fogászatra specializálódott rendelőnkben. A módszer lényege, hogy a páciensnek elegendő egy alkalommal 3×15 percig a fogorvosi székben ülnie és ez alatt fehérednek ki fogai a lehetséges mértékben. Ezt egy speciális LED fényforrás és az általa aktivált fehérítő anyag teszi lehetővé, mely európa szerte egységesen azonos standardok szerint kerül forgalmazásra. Az elért hatás azonnal értékelhető és általában tovább is tart, mint az otthoni sínes módszer esetében.
Fontos megjegyeznünk az őszinteség okán, hogy nem minden fogsor reagál azonos módon a kezelésre, vannak olyan esetek, amikor a zománc elváltozásainak megváltoztatására a fehérítés nem alkalmas a teljesség igényével, ezekben az esetekben csak a kerámiahéjak hozhatnak tökéletes megoldást. Minden esetben előzetes konzultáció és szájvizsgálat szükséges a várható eredmény tisztázása érdekében. Továbbá nagyon fontos kiemelni, hogy fogfehérítést csak egy nagyon alapos és szakszerű tisztítást, szájhigiénés kezelést követően áll módunkban elvégezni.
Időpontot foglalok az első konzultációra
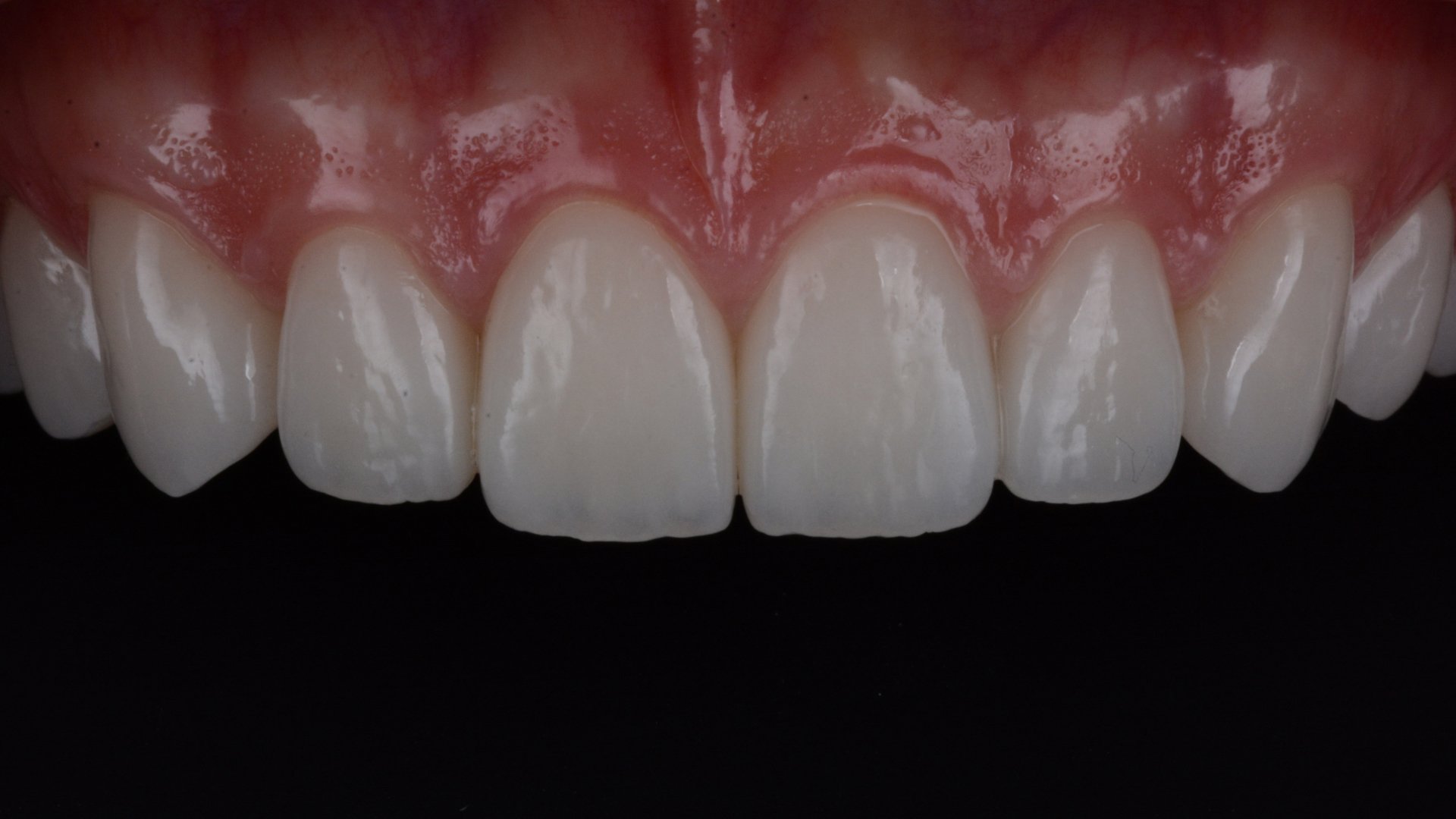
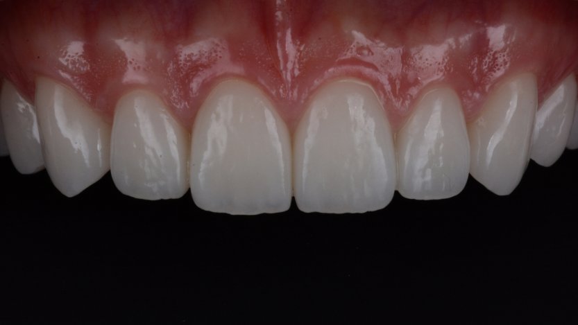
ÍNYPLASZTIKA A TÖKÉLETES MOSOLYÉRT
Az egészséges és egységes fogíny és az esztétikus mosoly fontos eleme.
Amennyiben a fogíny kontúrjaiban diszharmónia van, ez elsősorban mosolygáskor lehet zavaró. Az úgynevezett perio-plasztikai sebészetben járatos specialista előre kiszámítható módon képes a fogíny kontúrjainak hibáit korrigálni. Ez a beavatkozás is - mint mindig - a tervezéssel indul. A mosolytervezés megmutatja, milyen lenne az ideális végeredmény, ennek tükrében hajtjuk végre a szükséges, nagyon precíz sebészi beavatkozást. Egyszerűbb esetben "csak" az íny kontúrján kell alakítani, de előfordul olyan szituáció is, amikor a csontos alapokat is meg kell változtatni a tökéletes végeredmény érdekében.
A gyógyulási idő elteltével készülhetnek a kerámiahéjak, illetve egyéb kerámia restaurációk, melyekkel a végső esztétikai eredmény még tökéletesebbé tehető.
Ugyancsak lehetőség van az ínyplasztika módszerével a kifejezett fognyaki ínyvisszahúzódások kezelésére, az érzékennyé vált nyaki területek „lefedésére”, illetve a fogimplantátum körüli szövetek stabilizálására is. A legtöbb esetben az úgynevezett gold standard-nek számító saját szövetes ínypótlást alkalmazzuk, annak megbízhatósága miatt. Ilyenkor egy donor területről (szájpadlás) vesszük ki a graftot és tesszük át a szükséges helyre. Ezáltal képesek vagyunk ínyfedést nyerni fognyakakon, ínyszövetet vastagítani bizonyos területek felett, elsősorban fogimplantátumok környezetében. Az ínybeültetés, más néven CT-graft (Connective Tissue Graft) egyfajta mikrosebészeti beavatkozás, mely történhet önállóan, de sok esetben az fogimplantátum behelyezésének alkalmával is. Ennek a témának nemzetközileg elismert szakértője, előadója Dr. Bodrogi Attila a SmileCenter alapítója és szakmai igazgatója.
Időpontot foglalok az első konzultációra
MOSOLY AUGMENTÁCIÓ - gyönyörű eredmény a tökéletes mosolyért

„Keskeny” mosoly – Mosoly augmentáció előtt
„Augmentált” mosoly – Mosoly augmentáció után
Némely esetben a páciensek azért keresik fel a kozmetikai fogászati specialistát, mert mosolyuk nem elég „széles”, a fogak nem töltik ki esztétikusan az ajkak által határolt teret, vagy nem adnak megfelelő alátámasztást azoknak. Ilyenkor a mosolytervezést követően az esztétikai kép javítása vagy többéves fogszabályozással, vagy az úgynevezett mosoly augmentációval érhető el. Ennek eszközei legtöbb esetben a kerámiahéjak. Ez utóbbiak akár néhány nap alatt minimál invazív beavatkozás által, de nagyon körültekintően megtervezett kozmetikai fogászati kivitelezéssel gyönyörű eredményt hozhat Önnek is!
Hívjon minket időpontért most!
ÍNYMOSOLY (GUMMY SMILE) helyrehozatala
Esztétikus fogíny az esztétikus mosolyért.
Vannak emberek, akiknél mosolygáskor a felső fogak feletti fogíny jelentős mértékben látható. Ez esztétikailag nagyon zavaró lehet, sokszor kísérik a környezet rosszindulatú megjegyzései. A legkedvezőtlenebb helyzet akkor alakul ki, ha mindeközben még a fogak méretei sem szépek, azaz a fog magasságának a szélességéhez viszonyított aránya nem ideális.
Fogíny- és ajak plasztika
Ilyenkor nyújthat nagy segítséget a kozmetikai fogászati specialista. A megoldás két irányból érhető el. Egyrészt egy elektrosebészi korona hosszabbítással (olykor kombinálva a csontos kontúrok korrekciójával is) hozzuk helyre az ideális arányokat, másfelől van egy speciális ajakplasztika, mellyel a hipermobilis felső ajkat tesszük "ellenállóbbá" a mimikai izmok húzó hatásának. Az ínyplasztika sem vérzéssel, sem utó fájdalommal nem jár, az ajakplasztika is csupán néhány napos kellemetlenséget, duzzanatot okoz a beavatkozást követően.
Az eredmény viszont önmagáért beszél: csökken vagy akár el is tűnik a korábban kilátszó fogíny, és gyönyörű arányokkal bíró felső fogak jelennek meg. Amennyiben a fogak állapota (színe, formája, tömöttsége) indokolja, szükség lehet azok helyreállítására is kerámiahéjakkal, illetve egyéb fémmentes restaurációkkal.