A foghiány sokáig együtt élhetőnek tűnhet. Egy hátsó fog „nem látszik”, egy kisebb rés „nem zavaró”. Idővel azonban a szervezet alkalmazkodni kezd – és ez az alkalmazkodás nem mindig előnyös. A kérdés gyakran nem az, hogy szükség van-e fogpótlásra, hanem ...
All-on-6 implantátum – a teljes fogpótlás stabil és tartós megoldása
Ha Ön is ilyen megoldást keres, akkor ne habozzon tovább. Az All-on-6 implantátumokat a SmileCenterben nagy tapasztalattal és modern technológiával készítjük el, hogy a kezelés minden lépése biztonságos és személyre szabott legyen.
Hozzuk létre együtt álmai mosolyát:
Mi az all-on-6 implantátum lényege?

Az all-on-6 rendszer során 6 darab implantátumot helyezünk el az állcsontban, amelyek stabil alapot biztosítanak egy teljes fogsorhoz. Ez az eljárás nagyobb terhelhetőséget nyújt, mint az all-on-4 rendszer, ezért kifejezetten ideális azoknak, akik erősebb rágófunkciót szeretnének és fontos számukra a maximális stabilitás.
Fő előnyei:
- Kiemelkedő stabilitás a több rögzítési pontnak köszönhetően
- Azonnali implantáció lehetősége megfelelő csontállomány esetén
- Esztétikus és természetes hatás
- Hosszú távú befektetés az életminőségbe
All-on-6 implantátum Budapesten a SmileCenter Fogászatában
Az all-on-6 technológia precíz tervezést és nagy szakértelmet igényel. Nálunk minden lépést a legmodernebb diagnosztikai eszközökkel és személyre szabott kezelési tervvel végzünk.
- Nemzetközi tapasztalatú implantológusok több száz sikeres teljes fogpótlással, Dr. Bodrogi Attila szakmai vezetése mellett
- 3D CBCT-felvétel és digitális tervezés a maximális pontosságért
- Azonnali implantáció lehetősége, ha az állcsont egészséges és megfelelő sűrűségű
- Prémium minőségű implantátumok hosszú távú garanciával
- Teljes mosolyátalakítás egy helyen – a tervezéstől a végleges fogsorig
Induljon el a teljes mosolyátalakítás útján!
Az All-on-6 kezelés folyamata – lépésről lépésre
-
Konzultáció és diagnosztika
Részletes állapotfelmérés, 3D CBCT és szájüregi vizsgálat, hogy pontos képet kapjunk a csontállományról és a lehetőségekről. -
Kezelési terv és tervezés
Digitális tervezéssel meghatározzuk az implantátumok helyét, dőlésszögét és a leendő fogsor formáját. -
Műtét és implantáció
Az all-on-6 implantátumokat optimális pozícióban helyezzük be, hogy a teljes fogsor stabil alapot kapjon.
-
Ideiglenes fogpótlás
A legtöbb esetben rövid időn belül ideiglenes fogsort kap, így a gyógyulási időszak alatt is komfortosan élhet. -
Gyógyulási idő
A beültetett implantátumok 3–6 hónap alatt teljesen becsontosodnak. -
Végleges fogpótlás
A gyógyulás után elkészítjük a végleges, esztétikus és erős fogsort, amely akár évtizedekig szolgálhatja Önt.
Foglaljon konzultációt, és ismerje meg a személyre szabott lehetőségeit!
Miért választják sokan az all-on-6 implantátum rendszert?
- Erősebb rágásbiztonság – ideális azoknak, akik gyakran fogyasztanak keményebb ételeket
- Maximális stabilitás – hat implantátum adja az alapot a fogsornak
- Teljes mosolyátalakítás – esztétikai és funkcionális javulás egyaránt
- Hosszú távú megtérülés – kevesebb javításra van szükség
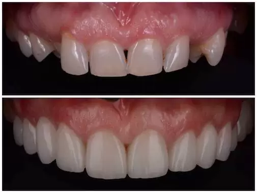
Teljes mosolyátalakítás, ami életre szól
Az all-on-6 implantátum nemcsak a mosolyt, hanem a mindennapi életminőséget is megváltoztatja. Újra magabiztosan beszélhet, ehet és mosolyoghat – kompromisszumok nélkül.