Felnőtt fogszabályozás Budapesten – kizárólag Invisalign megoldással a SmileCenterben

A SmileCenterben a felnőtt fogszabályozás egyet jelent a láthatatlan Invisalign technológiával. Nem kínálunk hagyományos vagy rögzített fogszabályozó készülékeket, mert hisszük, hogy felnőttként a diszkréció, a kényelem és az esztétika nem kompromisszum kérdése.
Felnőtt fogszabályozás Budapesten – kizárólag Invisalign megoldással a SmileCenterben

Az Invisalign sínek átlátszóak, kivehetők és az életvitelhez igazíthatók – így a fogszabályozás nem „látszik”, mégis hatékonyan formálja a mosolyt.

Kérjen felnőtt fogszabályozásra konzultációt Budapesten online vagy hívjon minket!

IDŐPONTFOGLALÁS HÍVÁS MOST

Invisalign felnőtteknek – amikor a fogszabályozás belefér az életébe

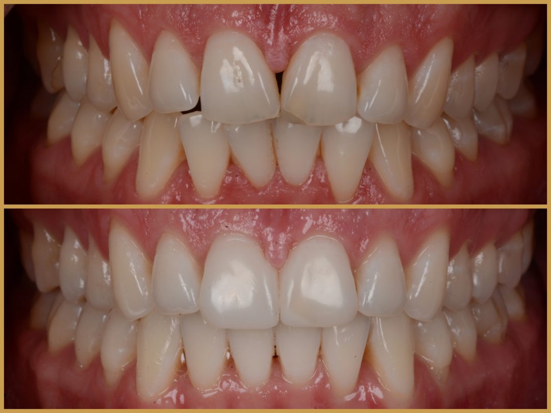
Invisalign fogszabályozásA felnőtt páciensek számára az egyik legnagyobb akadály a fogszabályozás gondolatánál az, hogy „ez már nem az én korosztályom”.
A SmileCenterben nap mint nap rácáfolunk erre.
 

A legidősebb páciensünk, akin Invisalign fogszabályozást végeztünk, 50 év feletti volt – és a kezelés nemcsak esztétikailag, hanem funkcionálisan is óriási változást hozott számára.
 

Ez is bizonyítja: a fogszabályozás nem életkor, hanem döntés kérdése.


 


Miért kizárólag Invisalign fogszabályozást végzünk a SmileCenterben?

Az Invisalign rendszer tökéletesen illeszkedik a SmileCenter komplex mosolyátalakítási szemléletéhez.

Az Invisalign előnyei felnőtteknek:
 

  • szinte teljesen láthatatlan sínek
  • kivehető megoldás – étkezésnél, fogmosásnál nincs akadály
  • kényelmes viselet, nincs fém vagy drót
  • digitálisan tervezett, kiszámítható folyamat
  • jól kombinálható más kezelésekkel (implantáció, fogpótlás, esztétikai korrekciók)
 

A SmileCenterben az Invisalign nem önálló kezelés, hanem gyakran egy teljes
mosolymegújítás része
, amely hosszú távon stabil és harmonikus eredményt ad.
 

IDŐPONTFOGLALÁS HÍVÁS MOST

Digitális tervezés – előre látja, hogyan változik a mosolya

Az Invisalign egyik legnagyobb előnye a digitális tervezhetőség.

A SmileCenterben már az első konzultáción:
 

  • digitálisan megtervezzük a fogak mozgását
  • megmutatjuk a mosoly várható átalakulását
  • pontos képet adunk a kezelés hosszáról és ütemezéséről
 

Ez különösen fontos felnőtt páciensek esetében, hiszen így a folyamat átlátható, kontrollálható és biztonságos.
 

HÍVÁS MOST

Felnőtt fogszabályozás Budapesten Invisalignnal – valóban sosem késő

Sokan 30, 40 vagy akár 50 felett vágnak bele az Invisalign kezelésbe, mert:
 

  • most van idejük foglalkozni magukkal,
  • fontos lett számukra az önbizalom,
  • komplex fogászati kezelés részeként vált időszerűvé a fogszabályozás.
 

A SmileCenter tapasztalata azt mutatja, hogy a felnőtt páciensek különösen elkötelezettek – és az eredménnyel gyakran még elégedettebbek, mint gondolták volna.

Felnőtt fogszabályozás

Foglaljon Invisalign konzultációt online – kortól függetlenül

IDŐPONTFOGLALÁS HÍVÁS MOST

Vélemények rólunk

Kérjen időpontot most!

KAPCSOLATFELVÉTEL

Ha bármilyen kérdése van vagy időpontot szeretne foglalni, keressen minket bizalommal és töltse ki űrlapunkat.

Gyakori kérdések

Online időpontfoglalás