Fogbeültetés Budapesten – tartós, természetes megoldás

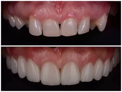
A foghiány nemcsak esztétikai kérdés: hatással van a rágásra, a beszédre, az önbizalomra és hosszú távon akár az állcsont egészségére is. A SmileCenter Fogászat Budapesten azonban nem csupán egyetlen fogat állít helyre: nálunk a fókusz minden esetben a teljes mosoly újjáépítésén van.
Fogbeültetés Budapesten – tartós, természetes megoldás

A fogbeültetés a komplex mosolyátalakítás egyik kulcseleme lehet — de soha nem önmagában vizsgáljuk. A SmileCenterben minden kezelés összehangolt szakmai terv szerint történik, amelynek célja, hogy az eredmény funkcionalitásában és esztétikájában is 100%-os legyen.
 

Foglaljon időpontot személyes fogbeültetés konzultációra!

 

Miért a fogbeültetés a legjobb megoldás foghiány esetén?

teljes mosolyátalakításA fogbeültetés (implantáció) ma a legmodernebb, legstabilabb és legtartósabb módszer hiányzó fogak pótlására.
Az állcsontba ültetett titán implantátum úgy működik, mint egy természetes foggyökér, és szilárd alapot ad a koronának vagy hídnak.

Előnyei:
  • Teljesen természetes érzet és megjelenés
  • Stabil, kényelmes, hosszú távú megoldás
  • Megőrzi a csontállományt, megakadályozza a csontleépülést
  • Nem kell a szomszédos fogakat lecsiszolni
  • Biztonságos és fájdalommentes beavatkozás 
 

Komplex mosolyátalakítás Budapesten – a SmileCenter egyedülálló szemlélete

A SmileCenterben az első és legfontosabb lépés egy komplex fogászati konzultáció, ahol nemcsak a foghiányra fókuszálunk, hanem az egész mosolyra.

Ez azt jelenti, hogy:
 

✔ teljes szájüregi állapotfelmérés történik

3D CT és digitális mosolytervezés alapján előre látja a várható eredményt

✔ több szakterület dolgozik össze in-house (implantológia, fogszabályozás, esztétika, fogpótlások, parodontológia)

✔ a fogbeültetés mellett szükség esetén más kezeléseket is javaslunk
 

Így biztosítjuk, hogy a fogimplantátum ne csak működjön, hanem tökéletesen illeszkedjen a mosoly egészébe — a páciens pedig valóban elégedetten nézhessen tükörbe.
 

Ezért is hangsúlyozzuk: a SmileCenter nem „fogpótlást” készít, hanem teljes mosolyátalakítást, személyre szabottan.
 

Fogbeültetés Budapesten – így zajlik a SmileCenterben

  1. Konzultáció és 3D diagnosztika

Az első lépés egy komplex vizsgálat: panorámaröntgen, 3D CT és digitális mosolyfotók készítése.
A mosolytervezés részeként előre megmutatjuk, hogyan fog kinézni az implantátum a teljes mosolyban, hogy már a kezelés előtt tudja, milyen eredményre számíthat.

  1. Személyre szabott komplex kezelési terv

Itt nem csak „egy implantátum beültetéséről” döntünk.

A SmileCenter csapata összehangoltan állítja össze a kezelést:

  • szükséges-e fogszabályozás?
  • kell-e ínykezelés vagy gyökérkezelés?
  • milyen fogpótlás illik a mosolytervezési tervhez?
  • milyen színt, formát, rágófelületet tervezünk a koronához?
 

A cél: a teljes mosoly 100%-os harmóniája.

  1. A fogimplantátum beültetése

A beavatkozás helyi érzéstelenítésben történik, fájdalom nélkül.
A műgyökeret az állcsontba ültetjük — ez lesz az alapja a későbbi koronának vagy hídnak. A beavatkozás időtartama általában 30–60 perc.

  1. Gyógyulás és csontosodás

Az implantátum néhány hónap alatt stabilan rögzül a csontban.
Ez természetes folyamat, amely tartós alapot biztosít a fogpótlásnak.

  1. Felépítmény és végleges korona

A csontosodás után kerül sor a felépítmény és a végleges fogpótlás (korona, híd) elkészítésére.
A SmileCenter digitális lenyomatvétellel és CAD/CAM technológiával dolgozik, így a pótlás színben, formában és illeszkedésben tökéletesen természetes.
 

Miért a SmileCenter a legjobb választás fogbeültetésre Budapesten?

Komplex mosolyátalakítás szakértői csapattal – implantológusok, esztétikai fogorvosok és mosolytervezők együtt dolgoznak.

✔ Digitális mosolytervezés már az elején – előre látja, milyen lesz a végeredmény.

✔ Személyre szabott, több szakterületet átfogó kezelési terv – így lesz a mosoly egyszerre funkcionális és esztétikus.

✔ Prémium minőségű implantátumok és pótlások – amelyek illeszkednek az arc karakteréhez.

✔ Fájdalommentes, modern technológia – biztonságos, gyors, kiszámítható folyamat.

Fogbeültetés Budapesten – természetes megjelenés és stabil rágóérzet

A megfelelően elkészített fogimplantátum nemcsak a mosoly esztétikáját adja vissza, hanem a természetes rágást is.

A SmileCenterben olyan fogpótlások készülnek, amelyek harmonikusan illeszkednek az arc karakteréhez, a harapáshoz és a többi foghoz — mintha mindig is ott lettek volna.
 

Ismerje meg implantációs szakértőinket



 
IDŐPONTFOGLALÁS HÍVÁS MOST

Vélemények rólunk

Kérjen időpontot most!

 

 

Gyakori kérdések

Online időpontfoglalás