A foghiány sokáig együtt élhetőnek tűnhet. Egy hátsó fog „nem látszik”, egy kisebb rés „nem zavaró”. Idővel azonban a szervezet alkalmazkodni kezd – és ez az alkalmazkodás nem mindig előnyös. A kérdés gyakran nem az, hogy szükség van-e fogpótlásra, hanem ...
Fogimplantáció lépésről lépésre – ismerje meg, hogyan zajlik a modern implantátumbeültetés
Ebben a cikkben bemutatjuk, hogyan zajlik a fogimplantáció lépésről lépésre, a SmileCenter Fogászat budapesti rendelőjének szakmai szemléletével – átláthatóan, félelem nélkül.
1. Konzultáció és állapotfelmérés
A fogimplantáció mindig egy részletes konzultációval kezdődik.
A SmileCenter orvosai ilyenkor megvizsgálják a szájüreg és a csontozat állapotát, és panorámaröntgent, valamint 3D CT-felvételt készítenek.
Ezek alapján pontos képet kapunk arról, hogy a csont alkalmas-e az implantátum befogadására, illetve szükséges-e előkészítő beavatkozás, például csontpótlás.
A konzultáció célja, hogy a páciens pontosan értse, mi fog történni, mennyi időt vesz igénybe a kezelés, és milyen eredményre számíthat.
A SmileCenterben pedig olyan komplex konzultációt kínálunk pácienseink számára, amely során mindent részletesen elmagyarázunk és átvizsgálunk az Ön esetében, hogy milyen kezelésekre lesz szükség az álommosoly eléréséhez, amelyet előre láthat digitális mosolytervezésünk által.
Kérjen konzultációs időpontot Budapesten
2. Kezelési terv és digitális tervezés

A fogimplantátum beültetése előtt minden esetben egy személyre szabott kezelési terv készül.
A SmileCenterben a tervezés digitális úton történik:
3D modellezéssel meghatározzuk az implantátum pontos helyét, mélységét és dőlését, így a beavatkozás teljesen biztonságosan zajlik.
Ez a precíz tervezés garantálja, hogy a későbbi korona tökéletesen illeszkedjen a meglévő fogakhoz, és a harapás is természetes legyen.
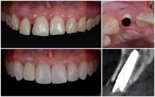
3. Az implantáció – a mesterséges gyökér beültetése

A beavatkozás helyi érzéstelenítésben történik, így a páciens semmit nem érez.
Az implantológus az előre meghatározott pozícióba beülteti a titánból készült műgyökeret az állcsontba.
Ez a kis csavar tölti be a foggyökér szerepét – stabil alapot ad a későbbi koronának vagy hídnak.
Az implantáció általában 30–60 percet vesz igénybe, teljesen fájdalommentesen.
A páciens már a kezelés napján folytathatja a mindennapi teendőit.
4. Gyógyulás és csontosodás
A következő időszak a türelemről szól.
Az implantátumot a csontnak be kell fogadnia, ez a természetes csontosodási folyamat (osseointegráció) 2–3 hónapot vesz igénybe.
Ez idő alatt az implantátum stabilan rögzül az állcsontban, és a szervezet „sajátjaként” kezeli azt.
A SmileCenter orvosai rendszeres kontrollvizsgálatokkal követik nyomon a gyógyulás folyamatát, így minden lépés biztonságos és kiszámítható.
5. A felépítmény és a végleges fogpótlás elkészítése

A gyógyulási idő leteltével az implantátumra egy apró felépítmény (csonkfej) kerül, erre rögzítjük a végleges koronát vagy hidat.
A SmileCenter fogtechnikusai digitális lenyomat alapján készítik el a pótlást, CAD/CAM technológiával – így az illeszkedés, a szín és a forma milliméter pontos.
A végeredmény természetes hatású, kényelmes és tartós.
Sok páciens el sem tudja különíteni az implantátumot a saját fogaitól – pontosan ez a cél.
6.Kontrollvizsgálat és utógondozás
Az implantátum beültetése után is fontos a rendszeres kontroll.
A SmileCenterben évente legalább egyszer javasolt ellenőrzés, ahol az orvos meggyőződik róla, hogy a pótlás stabil, a csont egészséges és a tisztítás megfelelő.
A megfelelő szájhigiénia és az éves kontrollvizsgálatok mellett az implantátum akár évtizedekig is szolgálhat.
Fogimplantátum Budapesten – modern technológia, biztonságos kezekben
A fogimplantáció egy precíz, de ma már teljesen rutinszerű eljárás, amely a legmagasabb szintű szakértelmet és technológiát igényli.
A SmileCenter Fogászat Budapesten a legújabb 3D diagnosztikai rendszerekkel, prémium minőségű implantátumokkal és tapasztalt implantológus csapattal dolgozik.
Célunk, hogy a fogpótlás ne csak funkcionális, hanem esztétikai élmény is legyen – fájdalommentesen, biztonságosan és hosszú távra.