Ha egynél több fog hiányzik, a megoldás általában összetettebb tervezést igényel, mint egyetlen fog pótlása. Ilyenkor nemcsak az a kérdés, hogyan kerülnek vissza a hiányzó fogak, hanem az is, hogy a végeredmény mennyire lesz stabil, kényelmes, természetes...
Fogimplantátum beültetés Budapesten – stabil, hosszú távú megoldás a SmileCenterben
A fogimplantátum beültetés azonban ma már biztonságos, kiszámítható és hosszú távú megoldást jelenthet.
A SmileCenter budapesti rendelőjében az implantáció nem rutinbeavatkozás, hanem alapos tervezésen alapuló, személyre szabott folyamat.
Foglaljon időpontot implantológiai konzultációra!
Mit jelent pontosan a fogimplantátum beültetés?
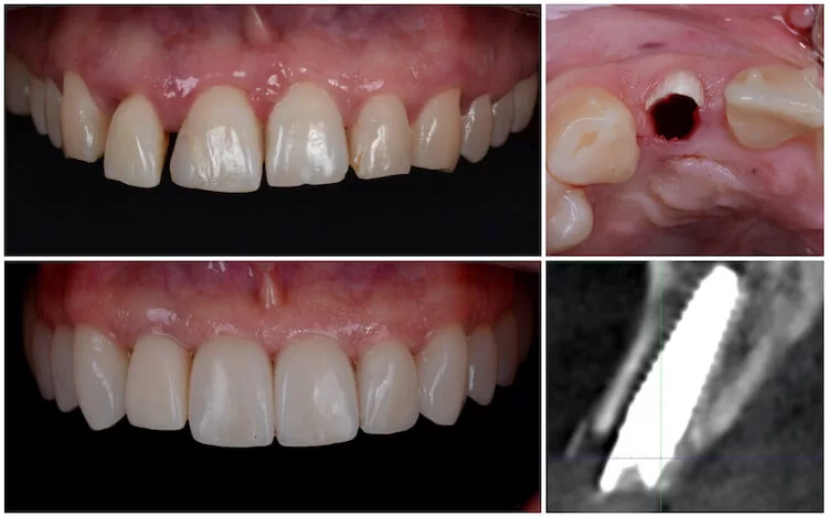
A fogimplantátum beültetés során egy speciális, biokompatibilis titán implantátum kerül az állcsontba, amely a hiányzó fog gyökerét helyettesíti. Erre kerül később a végleges fogpótlás – korona, híd vagy akár teljes fogsor.
A cél nem csupán a fog pótlása, hanem a rágási stabilitás és az állcsont terhelésének helyreállítása.
Miért különösen fontos 50 év felett?
Ebben az életkorban a foghiány gyakran már nem egyetlen fogat érint. Idővel:
- az állcsont veszíthet tömegéből,
- a meglévő fogak túlterhelődhetnek,
- a rágás bizonytalanná válhat.
A fogimplantátum beültetés segíthet megelőzni a további romlást, és stabil alapot adhat a hosszú távú fogpótláshoz.
Szeretne újra stabilan rágni és magabiztosan mosolyogni? Jöjjön el komplex konzultációnkra és segítünk visszaadni mosolya természetességét!
Hogyan zajlik a fogimplantátum beültetés a SmileCenterben?
A SmileCenterben minden implantáció egy komplex konzultációval kezdődik.
A folyamat lépései:
- Részletes állapotfelmérés komplex konzultáció keretében
- Digitális diagnosztika (szükség esetén 3D képalkotás)
- Személyre szabott kezelési terv
- Fogimplantátum beültetés érzéstelenítésben
- Gyógyulási időszak kontrollvizsgálatokkal
- Végleges fogpótlás rögzítése
- Kontroll
A kezelés során kiemelten fontos a precíz tervezés, amely jelentősen csökkenti a kellemetlenséget és a kockázatot.
Tapasztalat, amely biztonságot ad
A fogimplantátum beültetés nagy szakmai precizitást igényel.
A SmileCenter szakmai irányvonalát Dr. Bodrogi Attila több mint 30 éves tapasztalata határozza meg.
Számos komplex implantáció és mosolyátalakítás tapasztalata biztosítja, hogy a kezelési terv ne csak technikailag, hanem hosszú távon is megalapozott legyen.
Fájdalmas a fogimplantátum beültetés?
A modern érzéstelenítési technikáknak köszönhetően maga a beavatkozás fájdalommentes.
A gyógyulási időszakban enyhe érzékenység előfordulhat, de ez általában jól kezelhető és rövid ideig tart.
Sokan meglepődnek azon, hogy a beavatkozás kevésbé megterhelő, mint amire számítottak.
Milyen előnyei vannak a fogimplantátumnak?
- Stabil, természetes érzet
- Nem terheli a szomszédos fogakat
- Segít megőrizni az állcsont állapotát
- Hosszú távú megoldást jelenthet
- Esztétikailag harmonikus eredményt ad
A megfelelően kivitelezett implantátum évtizedekig is stabil maradhat.
Miért válassza a SmileCentert fogimplantátum beültetéshez Budapesten?
- Komplex, részletes konzultáció
- Több mint 30 éves szakmai tapasztalat
- Modern diagnosztikai háttér
- Személyre szabott kezelési terv
- Nyugodt, diszkrét környezet
A cél nem csupán egy implantátum beültetése, hanem egy hosszú távon stabil megoldás kialakítása.
✨ Kérjen személyre szabott implantációs árajánlatot!
Online időpontkérés – Hívja rendelőnket!
A stabilitás nem luxus, hanem biztonság
A fogimplantátum beültetés nem csupán esztétikai döntés, hanem az életminőség javításának egyik leghatékonyabb módja.
Ha a foghiány már befolyásolja a mindennapjait, érdemes időben lépni.
Egy részletes konzultáció segít eldönteni, hogy az implantáció az Ön esetében is megfelelő megoldás-e.
Vélemények rólunkKérjen időpontot most!
Gyakori kérdések
MENNYI IDEIG TART A TELJES FOLYAMAT?
MENNYI IDEIG TART EGY IMPLANTÁTUM?
LEHET-E TELJES FOGSORT IMPLANTÁTUMOKRA RÖGZÍTENI?
FÁJDALMAS A FOGIMPLANTÁTUM BEÜLTETÉS?
MIKOR NEM JAVASOLT AZ IMPLANTÁCIÓ?
Bizonyos egészségügyi állapotok vagy jelentős csontvesztés esetén egyedi mérlegelés szükséges. Ezért kulcsfontosságú a személyes konzultáció és az alapos diagnosztika.

