fogimplantátum budapest

Egy ragyogó, harmonikus mosoly nemcsak az esztétikáról szól. Hatással van arra, hogyan látjuk magunkat, és arra is, hogyan látnak minket mások. A digitális mosolytervezés (smile design) a legmodernebb esztétikai fogászat és a legprecízebb digitális technológiák ötvözete, amely lehetővé teszi, hogy már a kezelés előtt pontosan lássa, milyen lesz a végeredmény.
Fogimplantátum Budapest – tartós, esztétikus megoldás a SmileCenter Fogászatnál

Egy hiányzó fog nemcsak esztétikai problémát jelenthet, hanem az étkezést, a beszédet és az önbizalmat is befolyásolhatja. A SmileCenter Fogászat Budapesten olyan fogimplantátum megoldásokat kínál, amelyekkel újra természetesen mosolyoghat, magabiztosan étkezhet és kényelmesen élhet – mintha csak a saját fogait kapná vissza.

 

fogimplantátum

Kapja vissza mosolyát fogászati implantátumokkal:

Foglaljon időpontot személyes konzultációra!

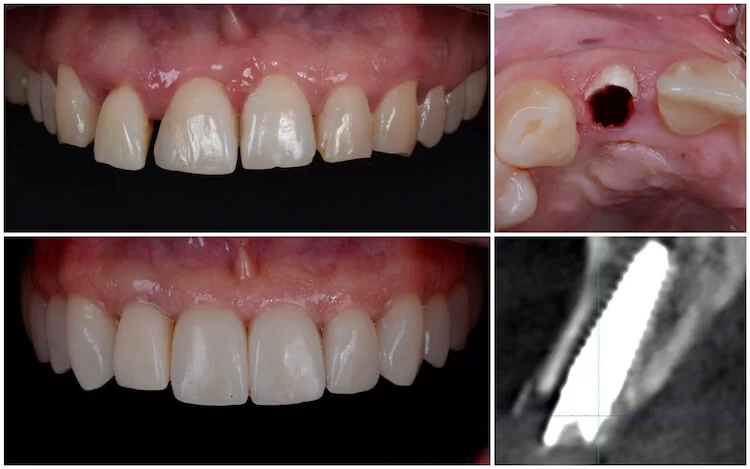
Mi az a fogimplantátum, és mikor ajánlott?

A fogimplantátum egy titánból készült mesterséges foggyökér, amelyet az állcsontba ültetünk be. Ez a legmodernebb és legmegbízhatóbb módszer a hiányzó fogak pótlására, hiszen stabil alapot ad a koronának, hídnak vagy akár teljes fogsornak.

A fogimplantátum Budapesten akkor javasolt, ha:

  • egy vagy több fog hiányzik,
  • a szomszédos fogakat nem szeretné lecsiszoltatni,
  • hosszú távú, stabil megoldást keres,
  • fontos Önnek a természetes megjelenés és komfort.

👉 Tudjon meg többet az implantációról

A fogimplantátum előnyei – miért választják a SmileCenter páciensei?

✔ Természetes megjelenés és érzet:

az implantátum teljesen úgy viselkedik, mint egy igazi foggyökér.

✔ Tartós megoldás:

megfelelő ápolás mellett akár évtizedekig is kitart.

✔ Megőrzi a csontállományt:

megakadályozza az állcsont sorvadását, ami foghiány esetén gyakori.

✔ Nem kell a szomszédos fogakat lecsiszolni:

az implantátum önállóan rögzül, így nem károsítja az egészséges fogakat.

✔ Esztétikus eredmény:

a végeredmény harmonikusan illeszkedik az arc formájához és a természetes fogakhoz.

Hogyan zajlik a fogimplantátum beültetése a SmileCenterben?

A beavatkozás minden esetben alapos tervezéssel kezdődik. Az implantációt a legmodernebb digitális technológiával és 3D tervezéssel végezzük, így a folyamat biztonságos és pontos.

1. Konzultáció és diagnosztika:

Részletes vizsgálat, panorámaröntgen és 3D CT alapján meghatározzuk, hogy alkalmas-e a csont az implantátum beültetésére.

2. Tervezés:

Digitálisan megtervezzük az implantátum helyét, méretét és dőlését, hogy a végeredmény funkcionálisan és esztétikailag is tökéletes legyen.

3. Implantáció:

A beavatkozás helyi érzéstelenítésben történik, teljesen fájdalommentesen. A műgyökér beültetése után 2–3 hónapos gyógyulási idő következik, amíg a csont rögzíti az implantátumot.

4. Fogpótlás készítése:

A csontosodás után elkészítjük a végleges koronát vagy hidat, amely színében és formájában is illeszkedik a természetes fogakhoz.

5. Kontroll és utógondozás:

A SmileCenter orvosai a kezelés után is gondoskodnak a megfelelő ellenőrzésről és tanácsadásról, hogy az implantátum hosszú éveken át problémamentesen működjön.

Kérjen konzultációt még ma!

 

Miért a SmileCenter a legjobb választás fogimplantátum beültetésre Budapesten?

  • Magasan képzett implantológus szakemberek – több száz sikeres beültetéssel és 30 év tapasztalatával a hátuk mögött.
  • Modern, fájdalommentes eljárások – helyi érzéstelenítés és korszerű technológia.
  • Digitális tervezés és precíz kivitelezés – CAD/CAM rendszerek a maximális pontosságért.
  • Prémium anyagok, garanciával – titán implantátumok vezető gyártóktól.
  • Empatikus, emberközpontú hozzáállás – nálunk a komfort és biztonság az első.

Fogimplantátum Budapest – kinek nem ajánlott az implantáció?

Bár a legtöbb esetben az implantátum a legjobb megoldás, bizonyos egészségügyi tényezők korlátozhatják az eljárást.
Nem javasolt:

  • előrehaladott csontritkulás esetén,
  • kezeletlen cukorbetegség mellett,
  • erős dohányzás vagy gyenge csontminőség esetén.

Ezekben az esetekben orvosaink alternatív megoldásokat kínálnak (pl. csontpótlás, hídpótlás), hogy Ön így is visszanyerhesse mosolyát.

Visszakapná természetes mosolyát?

A SmileCenter Fogászat Budapesten segít, hogy újra magabiztosan mosolyogjon.
Fogimplantátumaink tartósak, esztétikusak és kényelmesek – mert egy foghiány többé nem akadály, hanem egy új kezdet.

Kérjen időpontot, és kezdje el a folyamatot még ma!

Vélemények rólunk

Kérjen időpontot most!

KAPCSOLATFELVÉTEL

Ha bármilyen kérdése van vagy időpontot szeretne foglalni, keressen minket bizalommal és töltse ki űrlapunkat.

GYAKORI KÉRDÉSEK a fogimplantációról

Fájdalmas a fogimplantátum beültetése?

Nem. A beavatkozás helyi érzéstelenítésben történik, teljesen fájdalommentesen. A SmileCenterben a modern érzéstelenítési technológiák és a páciensközpontú hozzáállás biztosítják a maximális kényelmet.

Mennyi ideig tart a gyógyulás implantátum után?

A csontosodási idő általában 2–3 hónap, ezután kerülhet sor a végleges fogpótlás rögzítésére. A pontos idő egyéni adottságoktól is függ.

Mennyire tartós egy fogimplantátum?

Megfelelő szájhigiénia mellett egy implantátum akár évtizedekig is szolgálhat. A SmileCenter prémium minőségű anyagokkal és precíz technológiával dolgozik, így a hosszú távú siker garantált.

Kérjen időpontot vagy keressen minket bármilyen felmerülő kérdésével!

Online időpontfoglalás