A foghiány nemcsak esztétikai kérdés. Idővel hatással lehet a rágásra, a beszédre és az életminőségre is. Sokan évekig együtt élnek vele, mert bizonytalanok a megoldásban. A fogimplantátum beültetés azonban ma már biztonságos, kiszámítható és hosszú távú...
Láthatatlan fogszabályozó előnyei fiatal felnőtteknek
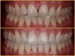
A láthatatlan fogszabályozó ma az egyik legnépszerűbb megoldás, ha valaki szeretné rendezni fogait anélkül, hogy hónapokig fém készüléket viselne.
Kinek ajánlott a láthatatlan fogszabályozás?
A láthatatlan fogszabályozás szinte bárkinek jó választás, aki:
- szeretné korrigálni fogsora állását diszkréten,
- felnőttként vagy fiatal felnőttként kerülné a fém fogszabályozó látványát,
- rugalmas, kivehető megoldást keres,
- fontos eseményekre (pl. diplomaosztó, esküvő) készül,
- munkája vagy életstílusa megkívánja az ápolt, visszafogott megjelené
A technológia hatékony szinte minden eltérés kezelésére: torlódások, hézagok, valamint harapási eltérések esetén is (sebészi indikáció kivétel).
Miért sosem késő elkezdeni?
Sokan tévesen hiszik, hogy a fogszabályozás csak gyerek- vagy tinédzserkorban hatásos. Valójában a fogak bármely életkorban mozgathatók – a különbség csupán az, hogy felnőttként tudatosabban vigyázunk az eredményre, és jobban értékeljük a befektetést.
Ez azt jelenti, hogy ha valaha is vágyott egy szebb, rendezettebb mosolyra, a láthatatlan fogszabályozó tökéletes alkalom arra, hogy most megtegye az első lépést.
A láthatatlan fogszabályozó előnyei fiatal felnőttként
- Diszkrét megjelenés – szinte senki nem veszi észre, hogy fogszabályozót visel.
- Kivehetőség – étkezésnél, fogmosásnál vagy különleges eseményeknél könnyen eltávolítható.
- Kényelem – nincs fémzár vagy drót, ami látszik vagy irritálná az ínyt.
- Digitális tervezés – már a kezelés elején látható a várható végeredmény.
- Rugalmas életvitel – sport, munka és társasági programok mellett is könnyen viselhető.
Fontos tudnivalók a kezelésről
- A sínváltás általában 1–2 hetente történik.
- A napi viselési idő 20–22 óra a hatékony eredmény érdekében.
- A kezelés hossza a kiinduló állapottól függően 6–18 hónap.
- A kezelés végén retenciós sín és/vagy ív szükséges az eredmény megtartásához.
Invisalign ár – mi befolyásolja a költségeket?
Az Invisalign ár több tényezőtől függ, például:
- a kezelés hosszától és a sínváltások számától,
- a kiinduló állapot bonyolultságától,
- a választott fogászati csomagtól,
- szükséges-e kiegészítő kezelés (pl. fogfehérítés, tömések, pótlások..).
Fontos megjegyezni, hogy bár a láthatatlan fogszabályozás általában magasabb árkategóriába tartozik, a kényelme és esztétikai előnyei miatt sok páciens szerint megéri a befektetést.
Magabiztos mosoly befektetés a jövőbe
A láthatatlan fogszabályozó ideális választás fiataloknak és felnőtteknek is, akik szeretnének esztétikus, kényelmes és diszkrét megoldást a fogsoruk rendezésére. Sosem késő elkezdeni, és az eredmény egy olyan mosoly lesz, amire büszke lehet a mindennapokban és különleges pillanatokban is.
