A foghiány sokáig együtt élhetőnek tűnhet. Egy hátsó fog „nem látszik”, egy kisebb rés „nem zavaró”. Idővel azonban a szervezet alkalmazkodni kezd – és ez az alkalmazkodás nem mindig előnyös. A kérdés gyakran nem az, hogy szükség van-e fogpótlásra, hanem ...
Mosolyátalakítás esküvőre készülve – hogy a nagy napon is ragyogjon
Egy harmonikus, ápolt mosoly kiemeli a boldogságot, magabiztosabbá tesz, és emlékezetessé varázsolja az összes pillanatot.
Mikor érdemes elkezdeni a mosolyátalakítást?
Az ideális időpont a nagy nap előtt legalább 2–3 hónappal van, hogy legyen elegendő idő a tervezésre és a kivitelezésre. Egyes kezelések – például a porcelán héjak – elkészítése néhány hétig is eltarthat, míg a fogfehérítés akár néhány nap alatt is látványos változást hozhat.
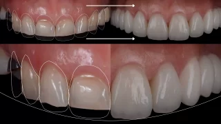
Porcelán héjak – amikor a tökéletesség a cél
A porcelán héjak vékony, de tartós borítások, amelyek a fogak elülső felszínére kerülnek. Ideálisak, ha:
- apróbb formai eltéréseket szeretne korrigálni,
- egységesebb árnyalatot szeretne elérni,
- esztétikus, természetes hatásra vágyik a nagy napra,
- tökéletes, akár “Hollywood-smile” elérése a cél.
A porcelán héjak segítségével az esküvői mosoly nemcsak gyönyörű, hanem tartós is lesz – így évekkel később is ugyanazzal az önbizalommal nézhet vissza az esküvői fotókra.
Fogfehérítés – gyors frissítés a nagy nap előtt
A fogfehérítés az egyik leggyorsabb és leghatékonyabb módja annak, hogy felfrissítse a mosolyát. Esküvő előtt különösen ajánlott, hiszen:
- már egyetlen kezelés is több árnyalatnyi világosodást eredményez,
- kiegészíti és kiemeli a sminket vagy a frizurát,
- harmonikusabbá teszi a teljes megjelené
Ha porcelán héjakat is készíttet, érdemes a héjak tervezése előtt elvégezni a fogfehérítést, hogy a szín tökéletesen illeszkedjen.
Komplex mosolytervezés az esküvőre
A legszebb eredményt sokszor több eljárás kombinációjával érjük el. Ez lehet:

- fogfehérítés a friss árnyalatért,
- porcelán héjak a formai tökéletességért,
- kisebb korrekciók, amelyek harmonizálják a mosolyt.
Egy profi mosolytervezés során előre láthatja, hogyan fog kinézni az esküvői mosolya – így a nagy napon minden a helyén lesz.
Az esküvői mosoly nemcsak a nagy napról szól, hanem azokról a fotókról, amelyeket egy életen át nézeget majd. A porcelán héjak és a fogfehérítés egyaránt segíthet abban, hogy a mosoly kifogástalan és magabiztos legyen.
A lényeg, hogy időben elkezdje a felkészülést, és szakértői segítséggel alakítsa ki a tökéletes végeredményt.