All-on-6 implantátum – a teljes fogpótlás stabil és tartós megoldása
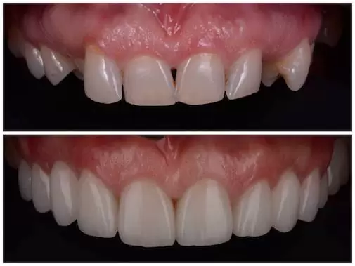
A foghiány nemcsak az étkezést nehezíti meg, hanem hatással van a beszédre, az arckifejezésre és az önbizalomra is. Az all-on-6 implantátum egy olyan fejlett fogászati eljárás, amely a teljes fogsor pótlását biztosítja mindössze hat darab, precízen elhelyezett implantátummal. Ez a megoldás különösen ajánlott azoknak, akik hosszú távra keresnek megbízható, esztétikus és kényelmes fogpótlást.
Ha Ön is ilyen megoldást keres, akkor ne habozzon tovább. Az All-on-6 implantátumokat a SmileCenterben nagy tapasztalattal és modern technológiával készítjük el, hogy a kezelés minden lépése biztonságos és személyre szabott legyen.
Hozzuk létre együtt álmai mosolyát:
Mi az all-on-6 implantátum lényege?
Az all-on-6 rendszer során 6 darab implantátumot helyezünk el az állcsontban, amelyek stabil alapot biztosítanak egy teljes fogsorhoz. Ez az eljárás nagyobb terhelhetőséget nyújt, mint az all-on-4 rendszer, ezért kifejezetten ideális azoknak, akik erősebb rágófunkciót szeretnének és fontos számukra a maximális stabilitás.
Fő előnyei:
- Kiemelkedő stabilitás a több rögzítési pontnak köszönhetően
- Azonnali implantáció lehetősége megfelelő csontállomány esetén
- Esztétikus és természetes hatás
- Hosszú távú befektetés az életminőségbe
All-on-6 implantátum Budapesten a SmileCenter Fogászatában
Az all-on-6 technológia precíz tervezést és nagy szakértelmet igényel. Nálunk minden lépést a legmodernebb diagnosztikai eszközökkel és személyre szabott kezelési tervvel végzünk.
- Nemzetközi tapasztalatú implantológusok több száz sikeres teljes fogpótlással, Dr. Bodrogi Attila szakmai vezetése mellett
- 3D CBCT-felvétel és digitális tervezés a maximális pontosságért
- Azonnali implantáció lehetősége, ha az állcsont egészséges és megfelelő sűrűségű
- Prémium minőségű implantátumok hosszú távú garanciával
- Teljes mosolyátalakítás egy helyen – a tervezéstől a végleges fogsorig
Az All-on-6 kezelés folyamata – lépésről lépésre
Konzultáció és diagnosztika
Részletes állapotfelmérés, 3D CBCT és szájüregi vizsgálat, hogy pontos képet kapjunk a csontállományról és a lehetőségekről.Kezelési terv és tervezés
Digitális tervezéssel meghatározzuk az implantátumok helyét, dőlésszögét és a leendő fogsor formáját.Műtét és implantáció
Az all-on-6 implantátumokat optimális pozícióban helyezzük be, hogy a teljes fogsor stabil alapot kapjon.
Ideiglenes fogpótlás
A legtöbb esetben rövid időn belül ideiglenes fogsort kap, így a gyógyulási időszak alatt is komfortosan élhet.Gyógyulási idő
A beültetett implantátumok 3–6 hónap alatt teljesen becsontosodnak.Végleges fogpótlás
A gyógyulás után elkészítjük a végleges, esztétikus és erős fogsort, amely akár évtizedekig szolgálhatja Önt.
Miért választják sokan az all-on-6 implantátum rendszert?
- Erősebb rágásbiztonság – ideális azoknak, akik gyakran fogyasztanak keményebb ételeket
- Maximális stabilitás – hat implantátum adja az alapot a fogsornak
- Teljes mosolyátalakítás – esztétikai és funkcionális javulás egyaránt
- Hosszú távú megtérülés – kevesebb javításra van szükség
Teljes mosolyátalakítás, ami életre szól
Az all-on-6 implantátum nemcsak a mosolyt, hanem a mindennapi életminőséget is megváltoztatja. Újra magabiztosan beszélhet, ehet és mosolyoghat – kompromisszumok nélkül.
Kezdje el a folyamatot még ma – jelentkezzen konzultációra!
Kérjen időpontot most!
Vélemények rólunk
KIVÁLÓ 43 vélemény alapján Közzétéve itt: Irén BanaA Trustindex hitelesíti, hogy a vélemény eredeti forrása Google. Mióta az eszemet tudom, küzdöttem a fogaimmal, soha nem olyan mosoly nézett vissza rám a tükörből, mint amilyennel elégedett lettem volna. Rengeteg időt és pénzt költöttem a fogaimra, de rosszabbnál rosszabb eredményekkel, csalódottan, fájdalmakkal távoztam az orvosoktól. A SmileCenter profi munkatársainak munkája minden várakozásomat felülmúlta. Mindig pontos és részletes tájékoztatást kaptam arról, mi fog az adott alkalommal történni és hogyan folytatódik majd a kezelés. Több kiváló szakemberrel találkoztam, akik azon dolgoztak, hogy a lehető legszebb végeredménnyel távozhassak. Kivétel nélkül mindenki végtelenül kedves, emberséges és profi szakember volt, akiknek mindig hálás leszek. Az egész kezelés élményéhez az is hozzátartozik, hogy észre sem vettem, hogy orvosi rendelőben vagyok, a rendelő kialakítása és a kiszolgálás sokkal inkább hasonlít egy szállodai ellátáshoz, mint a sokunk által rettegett fogorvosi székhez. Ha bárki hasonló beavatkozáson gondolkozik, csak őket ajánlom, mert minden perc és forint meg fog térülni.Közzétéve itt: Nikola KrajnikovaA Trustindex hitelesíti, hogy a vélemény eredeti forrása Google. Még soha nem voltam ehhez hasonló fogászaton. Eddig rettegtem a fogorvosoktól, de az itt dolgozóknak hála ez mostanra elmúlt.🥹 Nem hittem volna, hogy valaha mosollyal az arcomon fogok kijönni egy fogászatról, vagy hogy fogtömés közben majdnem elalszok.🫣😍 Mindenki elképesztően kedves és profi volt, a légkör és a hangulat pedig valami csodálatos. Csak ajánlani tudom!Közzétéve itt: Mirci VargaA Trustindex hitelesíti, hogy a vélemény eredeti forrása Google. Mikor a Smile Centert választottam azt olvastam róluk hogy arra törekszenek hogy etalon legyenek a fogorvoslásban . Gratulálok! Szerintem sikerült ! Nagyon közvetlen , kedves mindenki … szinte családias a légkör de a háttérben meg a teljes Profizmust találod ! Mindent megoldanak .. gyönyörű szép fogakat készítenek ! Nincsen lehetetlen ! Bátran fordulj hozzájuk és nagyon szép , jól funkcionáló fogakat fogsz kapni !Közzétéve itt: Herczegné Balanyi AnikóA Trustindex hitelesíti, hogy a vélemény eredeti forrása Google. Magabiztos, tapasztalt, felkészült szakemberekkel találkoztam a fogászati beavatkozás során. Jó döntés volt igénybe venni dr. Bodrogi és csapata szolgáltatását. Szívesen ajánlom Őket. Ezúton is köszönöm elkötelezett munkájukat.
GYAKORI KÉRDÉSEK Az All-on-6 implantátumokról
Miben különbözik az all-on-6 az all-on-4-től?
Az all-on-6 nagyobb stabilitást ad, mivel hat implantátum tartja a teljes fogsort, így erősebb rágófunkció érhető el.
Lehet azonnali implantációt végezni?
Igen, ha a csontállomány megfelelő, az implantátumok a fogeltávolítás után azonnal behelyezhetők.
Milyen hosszú a teljes folyamat?
A tervezéstől a végleges fogsorig általában 4–6 hónap telik el, a gyógyulási idő függvényében.
Mennyire tartós az all-on-6 implantátum?
Megfelelő ápolással akár élethosszig is kitart.
A végleges fogpótlással ehet bármit?
Igen, a stabil rögzítésnek köszönhetően szinte minden étel fogyasztható.
-
All-on-4 vagy All-on-6 – Melyik a jobb?
Amikor valaki a teljes fogpótlás lehetőségeit keresi, gyakran találkozik két modern implantációs módszerrel: az All-on-4 és az All-on-6 technológiával. Elsőre hasonlónak tűnnek – mindkettő fix, rögzített fogsort ad, és jelentősen javítja az életminőséget. De vajon melyik az Ön számára a jobb választás? Ebben a cikkben összefoglaljuk a két eljárás közötti fő különbségeket, előnyöket és szempontokat, hogy magabiztosan dönthessen.
-
Fogimplantáció lépésről lépésre – ismerje meg, hogyan zajlik a modern implantátumbeültetés
Ha eddig úgy érezte, a mosolya nem tükrözi azt az energikus, határozott személyiséget, amilyen valójában, akkor érdemes megismernie, hogyan is zajlik a digitális mosolytervezés folyamata.
